< Radiation Oncology < CNS


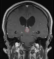
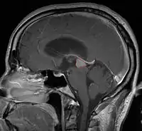
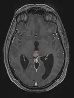
Pineal Gland Tumors


Epidemiology

  • 1% adult CNS tumors
  • 5% pediatric CNS tumors
  • Three separate tumor types:
    • Pineal parenchyma tumors
    • Glial parenchyma tumors
    • Germ cell tumors
  • Dramatic variation geographically in distribution (germinoma ~50% in Japan, <30% in Europe)


Clinical Presentation

  • Determined by the spatial anatomy and direction of growth
    • Obstruction of aquaduct: hydrocephalus presenting as headaches, nausea, vomiting
    • Compromise of superior colliculus: vertical gaze palsy, pupillary and oculomotor nerve paresis (Parinaud syndrome)
    • Progressive growth: cranial nerve neuropathies, hypothalamic dysfunction
  • Metastatic disease rare, but leptomeningeal spread in ~20% pineoblastomas and ~10% germ cell tumors


Pineal Gland Histology

  • Principle cell in the pineal gland is the pinealocyte
    • Specialized neuron related to retinal cones & rods
    • Takes sympathetic input from retina via the suprachiasmatic nucleus
    • Converts the stimulation into hormonal output by producing melatonin, which impacts LH and FSH
    • Relationship between light-dark cycle, pineal gland, and circadian rhythm
    • Stain for neuron specific enolase (NSE) and Synaptophysin
  • Surrounding stroma is made of astrocytes
  • Germ cells are embryonal remnants, typically presenting in midline structures

Pathology

  • Germ cell tumors
    • Germinoma (30-40%)
    • Non-seminomatous germ cell tumor (10-20%)
  • Pineal parenchymal tumors (15-30%)
    • Pineocytoma (WHO Grade II):
      • Well-differentiated low grade tumor
      • Characteristic pineocytomatous rosettes
      • May have neuronal, astrocytic, or mixed (ganglioglioma) differentiation
    • Pineal parenchymal tumour of intermediate differentiation (WHO Grade III)
      • Intermediate grade tumor, between pineocytoma and pineoblastoma.
      • Reasonably rare, constituting only 10% of pineal parenchyma tumors
    • Pineoblastoma (WHO Grade IV):
      • Primitive high grade tumor
      • Believed to arise from an immature neural progenitor cells; may have pineal, neuronal, glial, or retinoblastic differentiation
      • May be part of bilateral retinoblastoma with pineoblastoma syndrome ("trilateral retinoblastoma syndrome"), and may be associated with the Rb mutation
      • Necrosis is common
      • Histologically indistinguishable from Supratentorial PNET and infratentorial PNET (medulloblastoma)
      • Similarly has a significant propensity for leptomeningeal spread
    • Papillary tumor of the pineal region (PTPR)
      • Rare, recently described entity
      • Histologically similar to ependymoma, and thought to arise from specialized ependymocytes
  • Glial tumors
  • Benign lesions

Treatment Overview

  • Work-up includes MRI, CSF, serum markers for bHCG and AFP
  • Tissue diagnosis is critical, since management varies significantly based on pathology
    • Stereotactic pineal gland biopsy
    • Open surgery (typically not favored since only few tumors are amenable to complete resection, many are chemo-RT sensitive, and there is a real risk of worsening visual deficits)
  • CSF diversion may be necessary in patients symptomatic from obstructing hydrocephalus, although if open surgery is done, may not be necessary
  • Germ cell tumors are treated with definitive RT or chemo-RT as with other Germ cell tumors
  • Pineoblastoma is treated with surgery followed by adjuvant chemotherapy and craniospinal irradiation like other CNS PNETs). More detail below
  • to be continued ...


Pineocytoma



  • Most reports are small series; largest has 9 patients
  • Age difference: Pediatric pineocytomas behave more aggresively, with high rate of recurrence; adult cases appear more benign
  • Barrow Neurological Institute:
    • If symptomatic, attempt resection. Adjuvant GKS for subtotal resection
    • If small and asymptomatic, stereotactic biopsy, and primary GKS
  • Pittsburgh data suggests primary GKS as well
  • Mayo data suggests adjuvant RT for subtotal resection to 50-55 Gy


  • Barrow Neurological Institute; 2004 (Arizona)(1990-2003) PMID 15271241 -- "Diagnosis and management of pineocytomas." (Deshmukh VR, Neurosurgery. 2004 Aug;55(2):349-55; discussion 355-7.)
    • Retrospective. 9 patients. Mean age 44 years. Surgery: 3 GTR, 6 subtotal or bx. Adjuvant RT in 5/9 patients (n=2 IMRT 54/30, n=3 GKS)
    • Outcome: 4/9 local recurrences (3 clinical, 1 radiographic). Mean time to recurrence 3.5 years
    • Radiosurgery: all stable or decreased at 3 years
    • Treatment recommendations: If symptomatic, attempt resection. For subtotally resected, adjuvant GKS. For small asymptomatic tumors, stereotactic biopsy and primary GKS. Need close follow-up
  • Mayo; 1996 PMID 8952565 -- "Histologically confirmed pineal tumors and other germ cell tumors of the brain." (Schild SE, Cancer. 1996 Dec 15;78(12):2564-71.)
    • Retrospective. 135 patients with pineal tumors (pineoblastoma 15, intermediate/mixed PPT 6, pineocytoma 9). Median F/U 5.3 years
    • Outcome: 5-year OS pineocytoma 86%, intermediate/mixed PPT/pineoblastoma 49%
    • Predictor of survival: RT >50 Gy
    • Conclusion: Prognosis depends on tumor type; survival depends on dose of RT
  • University of Pennsylvania; 1987 (1975-1985) PMID 3815306 -- "Pineocytomas of childhood. A reappraisal of natural history and response to therapy." (D'Andrea AD, Cancer. 1987 Apr 1;59(7):1353-7.)
    • Retrospective. 4 children (11% of all pineal region tumors). Surgery + CSI+boost (n=3) or local RT (n=2) or chemo-RT (n=1).
    • Outcome: 4/6 recurrences, median 2 years after diagnosis. 3 leptomeningeal dissemination
    • Conclusion: Aggressive tumors in pediatric population; RT alone inadequate

Pineoblastoma

  • Pathology as above; histologically similar to other CNS PNETs. Many older trials grouped pineoblastoma together with supratentorial PNETs
  • Mainly occurs in young children (estimated 40-50% in age <1 year) . Children <3 years appear to have particularly aggressive disease, with frequent advanced presentation
  • Rare in adults (<10%), largest series is from Japan national Brain Tumor Registry spanning 30 years, with 34 patients
  • Strong tendency to invade surrounding tissue and disseminate through CSF
  • Typical approach is surgery, followed by chemotherapy and CSI
    • Older children can have a reasonable survival
    • Efforts to eliminate RT in young children have resulted in poor outcomes (POG, CCG, and German trials). However, long-term CSI toxicity is severe, so efforts are under way for dose intensification with stem cell transplant


Children

  • German HIT-SKK87, HIT 91, and HIT-SKK92 (1987-1992, 1992-1997)
    • Please see Supratentorial PNET for more detailed protocol information
    • Subset of 11 patients with PB. If <3 years, surgery + chemo with RT deferred until >3 years or progression (n=5). If >3 years, surgery + chemo + CSI (35.2/22 + 20/10 boost) +/- maintenance chemo (n=6)
    • 2007 PMID 16941074 -- "Childhood pineoblastoma: experiences from the prospective multicenter trials HIT-SKK87, HIT-SKK92 and HIT91." (Hinkes BG, J Neurooncol. 2007 Jan;81(2):217-23.)
      • Older children (>3): 5/6 alive with median OS/PFS 7.9 years after chemo and RT. All had M0 disease
      • Younger children (<3): 0/5 alive with median OS 0.9 years and PFS 0.6 years. All had M1 disease and/or postop residual disease. Response to chemo lower, only 1/5 received RT
      • Role of RT: all older children received it, and benefited (PR->CR or stayed in CR). One younger child received who, after progressing on chemo, and showed PR to it
      • Conclusion: Combined chemo and RT feasible and effective if >3 years. More intensified regimens necessary for <3 years
    • Subsequent HIT trial for young children with supratentorial PNET investigates short dose-intense induction, followed by high-dose chemo and CSI
  • CCG 921 (1986-1992)
    • Please see Supratentorial PNET for more detailed protocol information
    • Older children (>1.5 years) treated with surgery + CSI + chemo; infants (<1.5 years) treated with surgery + chemo (8-in-1) only
    • Pineal only; 1995 PMID 7751882 -- "Survival and prognostic factors following radiation and/or chemotherapy for primitive neuroectodermal tumors of the pineal region in infants and children: a report of the Childrens Cancer Group." (Jakacki RI, J Clin Oncol. 1995 Jun;13(6):1377-83.)
      • Pineoblastoma subset of 25 patients, 17 age >1.5, 8 infants
        • Infants: all infants developed progressive disease, median PFS 4 months
        • Older children: 3-year PFS 61% (better than ST-PNET, SS). After RT, 70% had residual pineal region mass, which persisted as long as 5 years before resolving
      • Conclusion: Chemo alone (8-in-1) ineffective for infants. CSI + chemo effective for older children
    • All ST-PNETs; 1995 PMID 7602359 -- "Prognostic factors and treatment results for supratentorial primitive neuroectodermal tumors in children using radiation and chemotherapy: a Childrens Cancer Group randomized trial." (Cohen BH, J Clin Oncol. 1995 Jul;13(7):1687-96.)
      • ST-PNET subset of 55 patients, age >1.5 years.
      • Outcome: 3-year OS 57%, PFS 45%; pineal PNET better at 73% and 61% (SS); stage M0 PFS 50% vs. M+ 0%. No difference between chemo arms
      • Toxicity: 8-in-1 arm worse
      • Conclusion: No difference between chemo arms; M0 and pineal site better outcome
  • Baby POG I (1986-90)
    • Prospective. 198 children < 3 yrs (132 < 2 yrs, 66 age 2-3 yrs), bx proven malignant brain tumors (low-grade astro excluded), treated with maximal surgery, postop chemo (CTX/VCR followed by cis/etopo) for 2 yrs (if age < 2 at dx) or 1 yr (age 2-3) or until disease progression, followed by RT.
    • Histologies: medulloblastoma 31%, ependymoma 24%, PNET 18%, malignant glioma 9%, brain-stem glioma 7%, other 9%. 27% M+. GTR in 38% of cases.
    • RT for medullo, PNETs, anaplastic ependymoma, or subarachnoid seeding CSI 35.2 Gy + boost to primary to 54 Gy. RT for ependymoma, gliomas local to 54 Gy. If no residual disease after chemo, reduced RT to CSI 24 Gy and primary site 50 Gy. Infants <2 years 90% of dose
    • 1995 PMID 7753001 -- "Lack of efficacy of postoperative chemotherapy and delayed radiation in very young children with pineoblastoma. Pediatric Oncology Group." (Duffner PK, Med Pediatr Oncol. 1995 Jul;25(1):38-44.)
      • Subset of PB infants (age <3 years, but 8/11 <1 year). 11 patients. Partial surgical resection
      • Outcome: All children failed chemo, 9/11 in primary site, 8/11 had leptomeningeal progression at time of failure. All children died, survival 4-13 months
      • Conclusion: Chemo alone not effective


Adults

  • Japan; 2005 (1969-1998) PMID 15782004 -- "Management and survival of pineoblastoma: an analysis of 34 adults from the brain tumor registry of Japan." (Lee JY, Neurol Med Chir (Tokyo). 2005 Mar;45(3):132-41; discussion 141-2.)
    • Registry study. All patients registered in national Brain Tumor Registry of Japan reviewed. 34 adults, 22 male. Median age 35 years (16-66). Gross total resection 5/34. CSI 29/34 with median dose 50 Gy (30-70 Gy). Median F/U 1.7 years
    • Outcome: median OS 2.2 years.
    • Predictors: CSI >40 Gy and GTR improved survival
    • Conclusion: Poor prognosis in adults
  • UCSF; 1995 (1975-1992) PMID 7501100 -- "Pineoblastoma in adults." (Chang SM, Neurosurgery. 1995 Sep;37(3):383-90; discussion 390-1.)
    • Retrospective. 11 patients. Median age 36 years (17-59). All with symptomatic hydrocephalus. Gross total resection 1/11. CSI 10/11 (CSI 24-45 Gy with tumor boost to 54-59.4 Gy). 7/11 chemo
    • Outcome: M+ (5/10) median PFS 10 months, median OS 2.5 years; M0 (5/10) all alive at 2.2 years follow-up
    • Conclusion: M0 patients can do well after surgery + CSI, benefit of chemo unclear

SRS

  • Marseille; 2006 (France) PMID 16172830 -- "The role of Gamma Knife radiosurgery in the treatment of pineal parenchymal tumours." (Reyns N, Acta Neurochir (Wien). 2006 Jan;148(1):5-11; discussion 11.)
    • Retrospective. 13 patients (8 pineocytomas, 5 pineoblastomas). SRS alone in 6 cases, after surgery 3 cases, with chemo 3 cases, s/p EBRT 1 case. Mean marginal dose 15 Gy (11-20 Gy). Mean F/U 2.8 years
    • Outcome: pineocytoma 8/8 alive, pineoblastoma 2/5 alive
    • Toxicity: none major
    • Conclusion: SRS effective and safe for pineocytoma, should have a role in multimodality treatment for pineoblastoma
  • Pittsburgh; 2002 PMID 12234394 -- "The role of radiosurgery for the treatment of pineal parenchymal tumors." (Hasegawa T, Neurosurgery. 2002 Oct;51(4):880-9.)
    • Retrospective. 16 patients treated with SRS as primary or adjuvant. Pineocytoma (n=10), mixed tumor (n=2), pineoblastoma (n=4). Mean margin dose 15 Gy. Mean F/U 4.3 years
    • Outcome: 2-year OS 75%, 5-year OS 67%; LC rate 100%; 5/16 died, 4 secondary to leptomeningeal or extracranial spread
    • Conclusion: SRS valuable modality for pineocytomas; can be used as boost for malignant pineal tumors
  • Komaki; 2001 (Japan) PMID 11767295 -- "Stereotactic gamma radiosurgery for pineal and related tumors." (Kobayashi T, J Neurooncol. 2001 Sep;54(3):301-9.)
    • Retrospective. 30 patients with pineal (64%) and nearby tumors. Pineocytoma (n=3), pineoblastoma (n=2). Pineal RT mean marginal dose 15.7 Gy
    • Outcome: pineocytoma 2/3 CR, 1/3 PR, no progression at 22 months; pineoblastoma 1/2 PR, 1/2 PG
    • Conclusion: GKS is expected to be effective approach

Brachytherapy

Iodine-125

  • Budapest; 2006 PMID 17163340 -- "Review of radiosurgery of pineal parenchymal tumors. Long survival following 125-iodine brachytherapy of pineoblastomas in 2 cases." (Julow J, Minim Invasive Neurosurg. 2006 Oct;49(5):276-81.)
    • Case report. 2 patients. Follow-up 5.1 and 4.8 years
    • Outcome: shrinkage 73% and 77%, both negative on PET
    • Conclusion: Two successful treatments reported


Germ Cell Tumors

  • Please see the Germ cell page for further discussion


Papillary Tumor of the Pineal Region (PTPR)

  • Rare; 41 cases reported as of 2007
  • Mean age at presentation 31 years, with slight female predominance
  • Most common presenting symptom headache, secondary to obstructing hydrocephalus
  • Usually well-circumscribed, large lesions, sometimes with cystic component
  • Main histological feature is papillary architecture
  • Frequent local recurrences, but spinal dissemination rare (WHO Grade II or III)


  • WHO; 2007 PMID 17598824 -- "Papillary tumor of the pineal region and spindle cell oncocytoma of the pituitary: new tumor entities in the 2007 WHO Classification." (Roncaroli F, Brain Pathol. 2007 Jul;17(3):314-8.)
    • WHO Pathology codification
  • INSERM; 2006 PMID 17021405 -- "Prognosis and histopathologic features in papillary tumors of the pineal region: a retrospective multicenter study of 31 cases." (Fevre-Montange M, J Neuropathol Exp Neurol. 2006 Oct;65(10):1004-11.)
    • Retrospective. 31 patients. Median age 29 years. Gross total resection 21/31 patients. RT 15 patients.
    • Outcome: 5-year OS 73%, PFS 27%
    • Conclusion: Frequent local recurrences
  • Lyon; 2003 PMID 12657936 -- "Papillary tumor of the pineal region." (Jouvet A, Am J Surg Pathol. 2003 Apr;27(4):505-12.)
    • Initial pathology report. 6 cases
This article is issued from Wikibooks. The text is licensed under Creative Commons - Attribution - Sharealike. Additional terms may apply for the media files.