< The Zebrafish in Toxicology






Reproduction - Ovary

Normal Histology

oocyte maturation


Various systems have been proposed to stage oocyte growth. Such classifications take into account morphological features of the growing oocyte and its nucleus, oocyte size, and granulosa cell layer properties. The staging presented here is mainly descriptive, and is based on Lambert 1970 and Selman 1993. Classical staging terminology is given for comparison.
For practical purposes, i.e. evaluation of effects of toxicants, a simplified classification, e.g. distinguishing between previtellogenic and vitellogenic oocytes, may be sufficient. Alternatively, histomorphometrical quantification of oocyte sizes (surface area, diameter) may be helpful to analyse toxicological effects.

references

  • Lambert-JG. The ovary of the guppy Poecilia reticulata. The granulosa cells as sites of steroid biosynthesis. Gen. Comp Endocrinol. 15:464-476; 1970.
  • Selman-K, Wallace-RA, Sarka-A, Qi-X. Stages of oocyte development in the zebrafish, Brachydanio rerio. J. Morphol. 218: 203-224; 1993.







oogonium

  • develops in clusters from germinative epithelium; cell diameters range from 10-20 µm;
  • large nucleus with one centrally located nucleolus.


cluster of cells with a single cell highlighted; adult female zebrafish, H&E staining



proliferating oogonia

  • multiplication of oogonia provides a continuous supply of cells to replace oogonia developing to oocytes
  • small cells, cell diameters less than 10 µm;
  • cells lie in nests: pre-follicle phase of primary growth;
  • threadlike chromosomes.


cluster of cells with a single cell highlighted; adult female zebrafish, H&E staining



primary oocytes - stage 1; first meiotic division - leptotene stage

  • part of the stock of oogonia develops into primary oocytes, which enter the first meiotic division
  • meiosis starts with duplication of the chromosomes, yielding a tetraploid cell; the resulting sister chromatides remain attached to the centromere
  • in the initial stage of the first meiotic division, the leptotene stage, chromosomes condense from their interphase conformation to produce thin, threadlike structures, seen randomly distributed throughout the whole nucleus; both ends of each chromosome attach to the nuclear envelope: "chromatin-nucleolus" phase;
  • cell diameters range from 10-20 µm;
  • cells lie in nests: pre-follicle phase of primary growth.


cluster of cells with a single cell highlighted; adult female zebrafish, H&E staining



primary oocytes - stage 1; first meiotic division - zygotene stage

  • the zygotene stage starts with the joining of homologous chromosomes (synapsis); the resulting complexes of chromosome pairs are known as bivalents or tetrads (two pairs of sister chromatids);
  • this process shows as condensations in the nucleus: "chromatin-nucleolus" phase;
  • cell diameters range from 10-20 µm;
  • cells lie in nests: pre-follicle phase of primary growth.


cluster of cells with a single cell highlighted; adult female zebrafish, H&E staining



primary oocytes - stage 1; first meiotic division - zygotene stage

  • the chromosomes assemble at one pole of the nucleus, opposite to the nucleolus: "chromatin-nucleolus" phase;
  • cell diameters range from 10-20 µm;
  • cells lie in nests: pre-follicle phase of primary growth.


cluster of cells with a single cell highlighted; adult female zebrafish, H&E staining



primary oocytes - stage 1; first meiotic division - pachytene stage

  • in the pachytene stage, appearing recombination nodules mediate chromosomal exchange, resulting in nonsister chromatid crossovers (i.e. between chromatids each from the other of the paired chromosomes)
  • the chromosomes attain a thickened aspect: "chromatin-nucleolus phase";
  • increase of size of the nucleus;
  • cell diameters about 20 µm;
  • cells lie in nests: pre-follicle phase of primary growth.


cluster of cells with a single cell highlighted; adult female zebrafish, H&E staining



primary oocytes - stage 1; first meiotic division - pachytene stage

  • appearance of many small nucleoli throughout the nucleus;
  • chromosomes spread out through the nucleus;
  • increase of size of the nucleus;
  • cell diameters about 20 µm;
  • cells "leave" nests: transition from pre-follicle to follicle phase of primary growth.


cluster of cells with a single cell highlighted; adult female zebrafish, H&E staining




primary oocytes - stage 1; first meiotic division - diplotene stage

  • the diplotene stage is characterized by desynapsis (homologous chromosomes move away from each other); decondensed chromosomes engage in RNA synthesis for production of oocyte storage material;
  • chromosomes have a slender appearance;
  • nucleoli move to the periphery of the nucleus: "perinucleolus" stage;
  • increase of size of the nucleus, which is further referred to as "germinal vesicle";
  • increase of cell size, cell diameters > 20 µm;
  • increasing amount of cytoplasm, which becomes basophilic;
  • appearance of accompanying follicle cells: follicle phase of primary growth.


cluster of cells with a single cell highlighted; adult female zebrafish, H&E staining




primary oocytes - stage 2 (previtellogenic)

  • increase of size of the germinal vesicle;
  • "perinucleolus" stage;
  • increase of cell size, cell diameters 20-90 µm;
  • follicle cells are present, follicle phase of primary growth.


adult female zebrafish, H&E staining



primary oocytes - stage 2 (previtellogenic)

  • round-oval germinal vesicle with 1-4 nucleoli per section;
  • "perinucleolus" stage, follicle phase of primary growth;
  • cell diameters 20-90 µm;
  • follicle cells are arranged in a single layer.


adult female zebrafish, H&E staining



primary oocytes - stage 3 (previtellogenic)

  • "perinucleolus" stage, follicle phase of primary growth;
  • further increase of cytoplasm volume with corresponding increase in cell diameters to a range of 80-160 µm;
  • the cytoplasm still reacts basophilic but shows spotted clearing;
  • accompanying follicle cells differentiate to a granulosa layer and a theca layer
  • initial development of the zona radiata.


adult female zebrafish, H&E staining



primary oocytes - stage 4

  • further increase of cytoplasm volume with corresponding increase in cell diameters to a range of 140-270 µm;
  • initial endogenous vitellogenesis, visible as small chromophobic or slightly eosinophilic vacuoles in a zone in the cytoplasm, halfway the nucleus and the cell membrane; such yolk vesicles or intravesicular yolk is strongly PAS positive;
  • "oil droplet phase", "cortical alveolus stage";
  • accompanying follicle cells are present;
  • the zona radiata is clearly visible (thickness ~2 µm).


adult female zebrafish, H&E staining



primary oocytes - stage 4

  • further increase of cytoplasm volume with corresponding increase in cell diameters up to 270 µm;
  • ongoing endogenous vitellogenesis, with larger chromophobic vacuoles (PAS positive) in a central zone in the cytoplasm;
  • "oil droplet phase", "cortical alveolus stage";
  • growth of the granulosa layer, which originates from the follicle cell layer (thickness ~4 µm);
  • the zona radiata is clearly visible (thickness ~2 µm).


adult female zebrafish, H&E staining


primary oocytes - stage 5

  • expansion of endogenous vitellogenesis to the periphery of the cytoplasm;
  • "oil droplet phase", "cortical alveolus stage";
  • increase of the cell diameter to 300 µm;
  • increase of thickness of the zona radiata (~5 µm);
  • granulosa layer thickness ~4 µm.


adult female zebrafish, H&E staining



primary oocytes - stage 5

  • expansion of endogenous vitellogenesis to the entire cytoplasm;
  • increase of the cell diameter to 400 µm;
  • initiation of exogenous vitellogenesis, visible as eosinophilic granula; this constitutes extravesicular yolk or yolk globules and is only weakly positive to PAS;
  • vitellogenesis stage, yolk stage;
  • increase of thickness of the zona radiata (~5 µm); note its radiant appearance;
  • granulosa layer thickness ~4 µm.


adult female zebrafish, H&E staining



primary oocytes - stage 6

  • marked vitellogenesis with corresponding increase of the cell diameter to ~400 µm;
  • vitellogenesis stage, yolk stage, growth phase;
  • shift of extravesicular (exogenous) granula to the perinuclear region;
  • concentration of endogenous vitellogenin vacuoles in the periphery of the cytoplasm;
  • increase of thickness of the zona radiata (5-10 µm);
  • thickness of the granulosa layer is variable (~2-6 µm).


adult female zebrafish, H&E staining



primary oocytes - stage 6-7

  • marked vitellogenesis with corresponding increase of the cell diameter to ~600 µm;
  • vitellogenesis stage, yolk stage, growth phase;
  • shift of extravesicular (exogenous) granula to the perinuclear region and fusion of extravesicular (exogenous) granula;
  • concentration of endogenous vitellogenin vacuoles to a small band in the periphery of the cytoplasm;
  • increase of thickness of the zona radiata (~10 µm);
  • thickness of the granulosa layer is variable (~2-6 µm).


adult female zebrafish, H&E staining



primary oocytes - stage 6-7

  • marked vitellogenesis with corresponding increase of the cell diameter to ~600 µm;
  • vitellogenesis stage, yolk stage, growth phase;
  • shift of extravesicular (exogenous) granula to the perinuclear region and fusion of extravesicular (exogenous) granula;
  • concentration of endogenous vitellogenin vacuoles to a small band in the periphery of the cytoplasm;
  • increase of thickness of the zona radiata (~10 µm);
  • thickness of the granulosa layer is variable (~2-6 µm).


adult female zebrafish, H&E staining



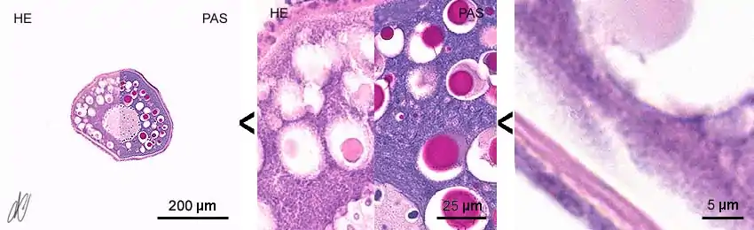
secundary oocytes - stage 7

  • vitellogenesis stage, yolk stage, growth phase;
  • at the end of the growth phase, the germinal vesicle moves to the animal pole of the cell. At this region, there is a minute, funnel-shaped perforation in the chorion, the so-called micropyle, which serves as the future entrance of the sperm. This micropyle is the result of inhibition of membrane formation by a specialised follicle cell, the micropylar cell (see image), which has an intimate relation with the oocyte .


adult female zebrafish, H&E staining



secundary oocytes - stage 7

  • maturation stage;
  • at the end of the growth phase, the first meiotic division is completed to produce a large diploid secundary oocyte and a small diploid polar body (not shown); subsequently, the second meiotic division is initiated (not shown) and an oocyte with the following characteristics is ovulated:
  • marked vitellogenesis with corresponding increase of the cell diameter to ~600 µm;
  • fusion of extravesicular (exogenous) granula;
  • no distinct endogenous vitellogenin vacuoles;
  • decrease of thickness of the zona radiata (~2-5 µm);
  • decrease of thickness of the granulosa layer (~2-5 µm);
  • the second meiotic division is completed after fertilization.


adult female zebrafish, H&E staining



follicle derivatives - corpus atreticum (postovulatory)

  • composed of hypertrophic granulosa cells and oocyte remnants: cell and membrane debris (the brown pigment is lipofuchsin, the end product of lysosomal digestion); the shown corpus atreticum also contains resistant zona radiata remnants, which are quickly digested in another type corpus atreticum.


adult female zebrafish, H&E staining



follicle derivatives - corpus atreticum (postovulatory)

  • shows as a collapsed envelope of former granulosa cells;
  • hypertrophic cells with lobulated nuclei;
  • short-lived: the structure starts to decline within a day, and will be cleared away within seven days.


adult female zebrafish, H&E staining



This article is issued from Wikibooks. The text is licensed under Creative Commons - Attribution - Sharealike. Additional terms may apply for the media files.