< The Zebrafish in Toxicology





Reproduction - Ovary

Normal Histology

ovary location, general structure


The ovary [O] is a paired organ, located bilaterally between the abdominal wall and the swim bladder [SB]. At the level of this section, the ovary is further bounded by the liver [L] and intestines [I]. Part of the pancreas [P] is located in the anterior peritoneal cavity, between gut, liver and swim bladder.

(Note that this is a juvenile specimen with a previtellogenic ovary.)

Coronal section of a juvenile female zebrafish, 14 mm (6 weeks); H&E staining

Two specimen of normal adult zebrafish ovaries, in different stages of the spawning cycle. The upper specimen shows a high ratio of previtellogenic oocytes [P], suggestive for an early postspawning stage, whereas the lower specimen contains predominantly vitellogenic oocytes [V], indicating an intermediate stage. The postspawning condition of the upper specimen is further indicated by the high ratio of postovulatory follicles [pof].

Note, that the upper image shows a lobulated structure, with interlobular spaces [I] that communicate with the lateral oviduct [L]. Thus, the interlobular spaces give way to ovulated oocytes.


Adult female zebrafish ovary; H&E staining

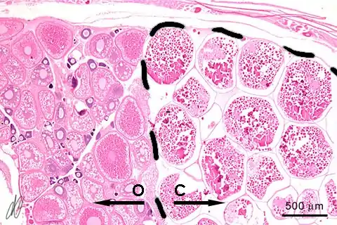
In a further (prespawning) stage shown here, mature oocytes have ovulated and are collected in the caudal oviduct [C enclosed by dotted line]. This image is suggestive of a prespawning stage.


Adult female zebrafish ovary, prespawning stage; H&E staining


This article is issued from Wikibooks. The text is licensed under Creative Commons - Attribution - Sharealike. Additional terms may apply for the media files.