< Page:Tropical Diseases.djvu

This page has been validated.

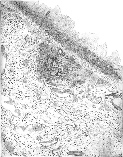
Microscopical section of the large intestine in bacillary dysentery, showing necrosis of the mucosa, cellular infiltration and hæmorrhages into the submucosa. (After Bahr.)
Plate VIII.
This article is issued from Wikisource. The text is licensed under Creative Commons - Attribution - Sharealike. Additional terms may apply for the media files.