< Page:Tropical Diseases.djvu

This page has been proofread, but needs to be validated.
XXXII]
MORBID ANATOMY
557
anus, either in patches or universally, is superficially eroded and interstitially atrophied. The internal surface of the bowel is coated with a thick layer of dirty grey, tenacious mucus containing numerous yeast

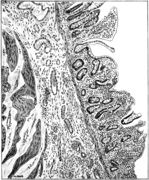
Fig. 83.—Transverse section of ileum in case of sprue, showing partial loss of columnar epithelium (probably a post-mortem change), shrinkage of villi, round-cell infiltration, fibrosis of submucosa, and dilatation of nutrient vessels of submucosa. (Bahr.)
cells and branching mycelium (Bahr), which conceals patches of congestion, of erosion, or even of ulceration, besides such evidences of similar antecedent disease as pigmented areas and thin-scarred, cicatricial patches. The villi and glands are eroded and in many places completely destroyed. Here and there minute
This article is issued from Wikisource. The text is licensed under Creative Commons - Attribution - Sharealike. Additional terms may apply for the media files.