Learning and memory are fundamental behind understanding cognitive processing, but are often confused for one another. Although the relationship between the two are clearly related and very much dependent on each other, learning and memory are still two distinct topics that require appropriate attention in order to comprehend them. The following chapters will examine the concepts behind learning and memory, from the approach of cognitive psychology. In other words, our focus will be placed on how humans process information, through series of approaches, such as perception, attention, thinking, and memory. We first begin by presenting the theory of multimedia learning as a way to introduce and identify a link between learning and memory. We then move on to discussing how human thoughts work, by using the idea of information processing. The next chapters will examine in detail how memories are structured, as well as the cognitive processes associated with them. We believe that these concepts are imperative in understanding how to achieve meaningful learning. Finally, the chapter assesses the relationship between learning and memory as a means of improving the quality of learning and teaching.
Learning
Many theorists and psychologists attempts to determine the definition of learning and its processes. Three perspectives in particular have been widely recognized to view learning through a western outlook and have been major contributions to the study of learning and educational practices. The three are the behaviourist, constructivist, and the cognitive perspectives [1]. The focus of this chapter will be to examine learning through a cognitive psychologist’s view, and in close association with the memory process. The human experience of learning becomes one that involves the active construction of meaning. But in order to construct meanings, human cognition first needs to understand how information is acquired and processed in memory. Researchers describes learning as how information is processed, encoded, and stored [2]. In other words these three processes, are performed in sequence with how one perceives, learns, thinks, understands, and retains information. Information on these three processes will be presented in much more detail as we move further along this chapter. However, as an introduction, it is under the assumption of cognitive researchers that learning is first obtained through the senses, such as sight, hearing, and touch. This chapter will begin with Richard Mayer's theory of multimedia learning in order to determine how sensory inputs work hand in hand with learning and memory.
Working Memory

Many types of developmental disabilities can be traced at least partially to problems with the memory. Problems with working memory subsystems seem to lie behind the way in which patients with autism become confused over large amounts of information, and deficiencies in working memory are also implicated in attention deficit hyperactivity disorder. A number of other developmental disabilities, such as Williams Syndrome, Down syndrome, and dyslexia can also be connected with improper functioning of memory[3]. Below we focus on autism spectrum disorder (ASD) and attention deficit hyperactivity disorder (ADHD) because the role of memory in these two disorders has been studied in detail, allowing us to use them to shed light on how the memory functions in practice.
Information Processing Theory
The traditional concept of memory saw it as a simple container that stored what the senses dumped into it for later use by the brain. With the advent of electronic data processing systems, the metaphors drawn from these have become the most popular ways to conceptualize memory. These metaphors are powerful and suggestive, but they can also be misleading, since the brain differs in many ways from a computer[4].
One of the main reasons for the use of data processing metaphors is that memory is a function that cannot be easily linked with specific parts of the brain. Thought is seen as information processing, and a key component of information processing is storage and retrieval. Information that is to be stored for the long term has to be encoded, processed to make it suitable for storage. The efficiency of this encoding can be enhanced by emotional arousal.[5]The concept of encoding and decoding of memories suggests that they are not simply raw information but are constructed by the brain when recalled, and the construction may be influenced by the circumstances under which they were recalled.
Again reflecting the metaphor of an electronic computer, information processing theory saw memory as the interaction of several subsystems, each devoted to one specific task, that passed information one to the other as needed. The requirement for conscious attention by some processes means these systems have a limited capacity[6]. The limited amount of memory affect learning and it caused the learning disabilities. The disabilities of grabbing on to memory is associated with autism and ADHD.

The Modal Model and Disability
The modal model (Figure 2), also known as the multi-store or Atkinson-Shiffrin model (from the researchers who first put it forward in 1968) is assumed by all varieties of information processing theory. It postulates different mental subsystems, each with a distinct function, that support and feed information to each other. The basically modal structure of the memory was supported by cases of brain damage that affected different parts of the memory unequally[7]. Most versions of the modal model were divided into three major sections: sensory memory or sensory register, short-term memory, and long-term memory[7]. As noted below, the concept of “short-term memory” is now obsolete. The unequal part of memory challenges students' ability to learn simultaneously, ability to grasp the knowledge.
Three-part Working Memory Model

It was obvious that something had to be carrying out the processes assigned to short-term memory. However, researchers gradually became frustrated with the concept’s inability to provide a model of how these processes took place[6]. Thus, beginning in the 1970's, the “short-term memory” model was supported or replaced by a function labeled “working memory.” The “working memory” holds the information and images that the person in question is engaged with at the moment[7]. Figure 3 presents the three-part working memory model.
There are many variations of this model, reflecting the uncertainty researchers have about how exactly it functions. However, it is generally agreed that the working memory is tightly linked with the long-term memory, since past knowledge has a very strong influence on conceptions in the present. It is also agreed that unlike the concept of short-term memory, which was thought to store information passively in an average of seven “slots” and transmit it unchanged, the working memory is active, not passive, making it central to the construction of meaning[6][8].
The most influential scheme for the working memory was put forward by Baddeley[9]. This divided the working memory into three components: an executive control system, an articulatory loop, and a visuo-spatial sketch pad[9][8]. This multi-component scheme is supported by a number of pieces of experimental evidence, such as the KF Case Study, where an accident severely impaired verbal processing while leaving visual processing almost intact. This strongly implies that verbal and visual processing are controlled by two different systems[10]. It is also supported by the observation that visual and phonemic tasks can be carried out at the same time with relatively little impairment, showing that they do not depend on the same mental resources[7].
Central Executive
The central executive or executive control system has been compared to a director controlling the activities of two subordinates, the phonological loop and the visuo-spatial sketchpad. It oversees the functions of the working memory, selects information and strategies, and decides what the working memory will concentrate on. It coordinates performance on different tasks, decides among retrieval strategies, switches focus among different inputs, and interacts with the long-term memory to retrieve and work with information[11].
Despite its critical importance, little is known about the detailed working of the central executive. It has been criticized as “little more than a homunculus,” a humanoid “boss” that coordinates all the other functions of the system[11]. Whether it carries out its various functions as a single coordinated system or a collection of independent subsystems is not clear[11].
Phonological loop
The phonological loop deals with spoken and written information. It is a passive short-term storage system for information that is received by reading or hearing[12]. Information is stored in an articulation code, which means that written data must be converted before it can be retained. Aural data goes directly into the store[13].
The phonological loop is divided into two parts. The first is the phonological store or “inner ear,” governing speech perception, which can hold aural information (spoken words) for several seconds. The second is the articulation control process, or “inner voice,” which is in charge of producing speech, and which can rehearse and store input from the phonological store[13].
Visuo-spatial sketchpad
The visuo-spatial sketchpad or the “inner eye” deals with visual information and spatial concepts. It is a passive short-term storage system for visual and spatial information received through the eyes. It is responsible for situating a person in space, so that s/he can move through other objects without constantly colliding with them. Information is stored as images, which must be interpreted to retrieve specific details. It also creates and manipulates mental images, and turns material in the long-term memory back into usable information on spatial arrangement[12].
The visuo-spatial sketchpad appears to function even in individuals that have never enjoyed the power of sight, since such individuals have clear concepts of spatial distribution. This indicates that concepts of spatial distribution are independent of visual input. It has thus been suggested that the visuo-spatial sketchpad be split into two independent functions, one concerned with purely visual data, and another with spatial concepts.
Multimedia Learning
Developed by Richard Mayer, the multimedia learning derives from the concept that learning works effectively with the use of words and images. Multimedia learning draws upon three major assumptions: our working memory can only process a limited amount of received information at a given time; the way we process verbal and visual stimuli in working memory are independent of each other; information needs to be actively processed to make sense of the presented information [14].
Cognitive Load Theory
Cognitive load is a concept proposed by John Sweller who states that having a high amount of information at a given time, will exceed the capacity of the working memory [15], which composes of articulatory and acoustic components. A human’s working memory, is assumed to only have a limited capacity at a given moment, as it is continuously processing information. If the information received by the human brain exceeds the limit of what the working memory can temporarily hold, then it cannot be retained into storage[16]. Because the working memory acts as a system for storing and processing new information, we face the challenge of transferring acquired information for long term memory, ultimately placing strain on learning, when there are exceeding amounts of incoming stimuli.
Dual-Coding Theory
Allan Paivio’s Dual-Coding theory separates audio and visual information, stating a human’s mind analyzes visual and verbal responses in separate independent codes [17]. According to Mayer’s multimedia model, learning, primarily enters the human brain through words and images. In fact, visual imagery, when compared to verbal texts that require a person to generate a kind of imagery in one’s mind, provided a more reliable and retention in memory [18]. Mayer’s research indicates that through the simultaneous use of images and words, learning becomes much more meaningful. In order to test this statement, many researchers conducted studies to find correlations for improved performance though the use of multimedia learning principles. A brief review of the research conducted by Billie Eilam and his colleagues will be examined as an example. Eilam conducted an experiment involving 150 college students, whereby participants were evenly divided into two groups. Each individuals received the same amount of cards required to perform a given homework. Group one received cards that were printed in texts, while the second group received information in both text and images, such as graphs. Results indicated that the latter group performed much more accurately compared to the first group [19]. Experiments performed by Eilam and his colleagues, as well as other studies, were designed to determine and assess learning strategies as a means to improving student’s learning, in relation to how information is processed through the human’s memory system.
Active Processing
Active processing, is the last assumption that is based on the cognitive theory of multimedia learning. It states that the human mind processes information actively, in order to construct meaningful learning and retention of memories, through three main cognitive measurements: selection, organization, and integration [20]. More specifically, humans are active learners because of their ability to process received input. How well people process incoming information however, depends on their ability to make sense of the materials they draw from and to make connections with information gathered, in order for meaningful learning to take place. This idea draws from Wittrock’s theory of generative learning, which states that humans make connections between prior knowledge and new incoming knowledge, leading to the creation of new understanding [21]. It may be helpful then, to examine strategies or methods that help to foster active learning in people through paying attention, filtering, and organizing selected materials into coherent representations, thereby integrating it with previous and new information.
Information Process Model
Cognitive psychology at its core carries the fundamental idea of information processing. More specifically, cognitive psychology compares how the human mind processes, much in the same way a computer processes. With the development of computers, the study of cognitive psychology adopted a concept behind computer simulations, which became a fundamental tool for understanding how cognitive processing in humans worked [22]. The computer model is one that imitates the cognitive functions of a human mind. The similarities include receiving information from an exterior stimulus, organizing and encoding input in various ways, transferring data to storage systems, and retrieving of output when needed. Through the analogy of information processing approach, psychologists determined that human thoughts could only process a limited amount of information at a given time [23]. Atkinson and Shiffrin (1968) proposed that human memories (like a computer) are formed through a series of channels. Atkinson and Shiffrin’s information processing model is divided into three central components that break down how human memory works: the sensory register, short-term memory, and long-term memory (which will be further examined in the later chapters below). Similar to a keyboard entering information onto a computer, the human mind initially receives information through what is called the sensory register, or in other words, sensory organs. Inputted information is then processed by the Central Processing Unit of a computer, equivalent to a human’s working or short-term memory. By then, information is either transferred for use, discarded or stored into long-term memory. For a computer, this stage of processing would take place on a hard disk in a computer [24]. To begin with, the human mind transforms multiple forms of sensory information (e.g., visual and auditory stimulus) received from the environment.
Memory Structure

Memory structure is first introduced by Richard Atkinson and Richard Shiffrin in 1968. They created the modal model, which was also known as information processing model, to distinguish control processes and memory structures. Control processes are basically the specific processes that information stored, such as, encoding, retrieval processing. The human memory structure is consisted of three separate components, sensory memory, short-term memory and long term memory.[25] Each component has a specific function, on the whole, memory structures allow us to process and move information around in our brain. One criticism that worthy to mention is that the modal model maybe not just a unidirectional flow, the actual information processing is more complex.[26] Next, let's look at how sensory memory, working memory and long term memory interact and influence each other.
Sensory Memory
Sensory memory is a system that holds environment input in sensory registers so that perceptual analyses can work before that information fade away. Unfortunately, perceptual analyses take time and effort and the environment may change rapidly. The duration of holding information in our sensory memory is extremely short.[27] In 1960, George Sperling first demonstrated the existence of sensory memory. In his experiment, participants were showed a slide of arrays of letters. The first study result illustrated that the length of time exposed to participants directly influenced their performance. Base on this result, he made two assumptions, first, subjects only saw limited amount of letter within the short period. Second, all the letters were registered, but lost. He then developed partial report method to test his assumptions [28]. Participants only reported one of the rows letters after hearing a tone. If the tone appears immediately, participants recalled 3 of the 4 letters. The fewer letter were recalled with the delayed tone appeared. The result showed us that sensory memory storage and duration is very limited, although information were registered in our memory, they lost rapidly. [29]
Working Memory
In The Magic Seven Study, George Miller argued that people can hold no more than 7 chunks in memory at one time. The only way for people to memorize more information is increasing the size of chunks and implementing information with meaning. It is interesting to mention that in Cowan's embedded processes theory, Cowan argued that "the magic seven" is not true, the real capacity of working memory is about four chunks, although each of the chunk may contain more than one item.[30] Baddeley’s working memory model is consist of executive control system, articulatory loop and visual-spatial sketch pad. The executive control system has the similar role as brain in our body, it controls the other two systems and decides what kind of the information enters memory. Articulatory loop and visual-spatial sketch pad holds acoustic information and visual spatial information respectively.[31]
Factors that influence working memory performance
Cognitive load theory is influenced and extended by Baddeley’s working memory model. It is worthy to mention that several factors may influence the working memory performance. Firstly, individuals have different background knowledge and capacity of working memory. If individuals are knowledgeable in certain domain, then they are more able to use the working memory efficiently. Secondly, the complexity of information is another constraint. Last but not least, the instructional approach is another factor, working memory performance is improvable if helpful and appropriate instruction is available. For example, learning to chunk information, or dividing the learning task. Furthermore, the amount of studies suggested that working memory maintenance is a critical step for long term encoding. As Baddeley once said, his attitude on this issue is that working memory activate many areas of the brain that include long term memory.[32]
Long-Term Memory
Long term memory is different from working memory because it can maintain information for a long period of time. It could be days, weeks, months and years. Examples of long term memory include remembering the graduation day, or the experience of your first day at working. Theoretically, long term memory has unlimited capacity of storage, but people still lose memory due to unsuccessful long term encoding. Generally, long term memory is divided into 2 components: explicit memory and implicit memory. Explicit memory is known as memories that are available in our heads, the past events pop out in our mind sometimes.[33]. It usually refers to the facts and declarative knowledge. The example would be that Vancouver is a city in Canada. While implicit memory is an unawareness memory that influence our actions and performance in daily life. This unconscious memory is about procedural knowledge, which is not just knowing about the facts, but knowing the process of performing the task. For instance, you are driving a car. Since we prior learned about the skill, we knew how to perform but we were not consciousness remembering it.[34]
Cognitive development
physical development of brain
Human development had various aspects, physical development, personal development, social development and cognitive development. Development refers to certain changes that occur in different stages over the lifespan, here we are going to take a deep look of cognitive development. Cognitive development refers to our mental processes are gradually changing and becoming more and more advanced over the lifespan. People do not become mature once they reached a certain age, development takes time and happens gradually. Inside our brain, there are billions of neurons. Neurons are grey colour nerve cells that function in accumulating and transmitting information in the brain. These neuron cells are so tiny, they are about 30000 fit on the head of a pin.[35] Each nerve cell includes dendrites and axon to make connections with the other nerve cells. A tiny gap, which called synapse, exist between each cell’s dendrite. Neurons transmit and share information by releasing chemical substances through these synapses. The numbers of neurons will be decreased if some neurons not serve as main function. Magically, if a child are deaf from birth, the auditory processing brain area will expect to process visual information rather than the auditory stimulation. [36]
The cerebral cortex is the largest area of the brain which contains numbers of neurons, and it is covered under the outer. The cerebral cortex allows us to do the abstract thinking and complex problem solving. Every part of the cortex also has different function and different mature periods. The region of the cortex that control our physical movement usually matures first, then comes with our vision and auditory cortex. The Frontal lobe which takes charge of the high order abstract thinking processes always mature at last. Moreover, the temporal lobes which is responsible for the emotion development, language acquisitions and judgement will not completely mature until human body become physically mature[37]. Although each part of the brain has its own function, they have to work collaboratively in order to complete complex functions, for example, Alice is reading a story. Her vision cortex is the first part to be stimulated and then sends the visual information to the other cortexes in her brain, finally, she is able to memorize and retell the story. [38]
Cognitive Process

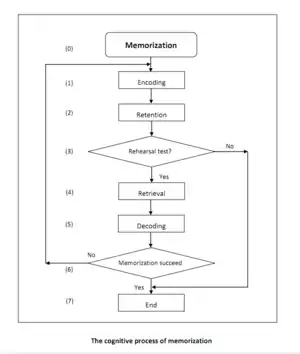
Cognition is a process of acquiring and understanding knowledge through people’s thoughts, experiences and senses. Memorization is a key cognitive process of brain at the metacognitive, as well as the cognitive process reveals how memory is created in long-term memory (LTM) [39]. The logical model of the cognitive process of memorization can be described as shown in the diagram:
(1) Encoding process, which convert information to a form that can be stored in LTM; (2) Retention, this step stored the information in LTM; (3) Rehearsal test, this step checks if the memorization result in LTM needs to be rehearsed. (4) Retrieval process, which recalls the information from LTM; (5) Decoding process, this step is about information reconstruction; (6) Repetitive memory test, which tests if the memorization process was succeed or not by comparing the recovered concept with the original concept.
Encoding Process
Encoding allows information stored in the brain to be converted into a construction, which can be recall from long-term memory. Memory encoding process is like hitting “save” on a computer file, once file is saved, it can be retrieved as long as the hard drive is undamaged. The process of encoding begins with the identification, organization of any sensory information in order to understand it. Stimuli are perceived by the senses, and related signals travel to the thalamus of the human brain, where they are synthesized into one experience [40]. There are four types of encoding: visual, acoustic, elaborative and semantic. Visual encoding is the processing of encoding images and visual sensory information. The creation of mental pictures is one example of how people use visual encoding. Acoustic encoding is that people use auditory stimuli or hearing to implant memories. Elaborative encoding uses information that is already known and connects them to the new information experienced. Semantic encoding involves the use of sensory input that has a specific meaning or be applied to a context. For instance, you might remember a particular phone number based on a person’s name or a particular food by its color.
Retrieval Process
Retrieval is a process of re-accessing of information previously stored in the brain in the past. In other words, it is the process of getting information out storage. When people are asked to retrieve something from memory, the information will be retrieved from short-term memory (STM) and long-term (LTM) memory. STM is stored and retrieved sequentially, while LTM is stored and retrieved by association. There are two types of memory retrieval: recall and recognition. In recall, the information must be retrieved from memories. In recognition, a familiar stimulation will provide a cue to let people feel that the information has been seen before. A cue might be an object, a word, a scene, or any stimulus that reminds a person of something related, and individuals recall the information in memory quickly according to the cue. Decision-making requires retrieval of memory, which contains two fundamental retrieval aspects during decision-making: automatic and controlled activation of memory representations. Take-the-best (TTB) is a strategy typically employed for decision from memory [41].TTB requires the sequential retrieval of attributes by the order of importance and stops information search as soon as a given attribute was allowed for making a decision. This sequential processing requires controlled retrieval from long-term memory, consequently, a repeated updating of working memory content [42]. Manipulating automatic memory activation, which is the number of association with a retrieval cue, by varying the number of attributes to which a decision potion is associated [43].
Limitations of Memory
The limitation of memory means the brain’s storage capacity for memory is limited. This is similar to the space in an iPod or a USB flash drive. However, the capability of brain is difficult to calculate. First, people do not know how to measure the size of a memory. Like no one will know a 10 digits phone number will take how much space of people’s mind. Secondly, some memories involve more details and then take up more space; other memories are forgotten and that helps free up space. For instance, working memory refers to the temporary storage of information; it is also associated with conscious processing information within the focus of attention. Working memory and attention interact in a way that enables people to focus on relevant items and maintain current goals. However, working memory processing capacity and duration are severely limited when dealing with novel information. The importance of the learner organized knowledge base is primarily determined by its ability to effectively reduce the capacity limitation of working memory by encapsulating many elements of information into higher-level chunks that could be treated as single units in working memory [44]. It shows the processing limitation of working memory significantly affect learning processes.
Metacognition
Metacognition can be defined as cognition about cognition, thinking about thinking. It refers to how people learn and processes information, and individuals’ knowledge of their own learning processes. There are two components of metacognition: metacognitive knowledge and metacognitive experience. Metacognitive knowledge refers to acquire knowledge about cognitive processes, knowledge that can be used to control cognitive process [45]. While metacognitive experiences can refer to use of metacognitive strategy, which is the process of using cognitive activities to ensure a cognitive goal. Self-questioning is a common metacognitive strategy. For example, after students read an article, they will question themselves about the main ideas or concepts about the article. Their cognitive goal is to understand the article. Therefore, self-questioning is used to ensure that the cognitive goal of comprehension is met. Additionally, metacognitive strategy often occurs when cognitions fail, such as the recognition that students did not understand what they just read. Such an impasse is believed to activate metacognitive processes as the learner attempt to correct the situation.
Relationship between learning and memory
Compare to previous section, this section is about the relationship between memory and learning. There is an interaction between learning and memory, they depend on each other. Therefore, this section focus more on how memory processes interact with learning. Based on memory processes, people learn new information or knowledge and put them into their memory. Also, people recall their already known information from memory to relate with new information, to make new information meaningful, and in order to learn it effectively. Further more, based on knowing how memory works, this section also addresses the implementations of some strategies (such as chunking) on designing learning activities.
Interaction of Learning and Memory
First of all, defining of learning and memory would help us to understand their relationship better. Learning is the process of gaining new and relatively lasting information and behaviours[46]. Memory refers to the process of recording and retrieving experiences and information[47].
Information Processing Model is a basis for the interaction of memory and learning. And the process of learning is quite similar to this model, people perceive new knowledge, identify and memorize it, and then encoding it into personal knowledge as encoding it into long-term memory [48]. Also, the information processing model includes every components of how memory works. There are three main memory types in this model, which are sensory memory, short-term/working memory, and long-term memory[49]. In sensory memory, information is stored shortly, also only 5-9 chunks can be hold for about 15-30 seconds in short-term memory. However, once the information transfers to long-term memory, it would be last yearly[50]. There are two processes that happen between short-term/working memory and long-term memory, one is called encoding processes that refers to the process of moving information from short-term memory to long-term memory, and the other one is retrieval processes which is the process of information is delivered to working memory from long-term memory[51]. Both of the processes play a significant role in learning.
Learning process is following the steps of information processing model, it also works as a mental process[52]. To relate learning process with the information processing model, using learning how to drive a car as an example. First of all, a learner has to memory basic knowledge about driving, either road rules or names of car devices. The learner perceives knowledge of driving and car devices, then he encodes it into long-term memory. When the time the learner actually sits in a car and try to drive it, the basic knowledge of driving he encoded is retrieved into working memory to help him knows what he needs to do for driving a car. After he practices driving many times, he would turn the driving skill as a procedural knowledge which means knowing “how”[53] into his long-term memory. As long as the learner’s driving skill gets more and more mature, the driving skill can be recalled unconsciously.
Memory limitations affecting Learning
Limited Attention in capacity
People require attention to learn[54]. As mentioned in the previous section, human attention is limited in capacity. Hence, without attentions, people cannot learn effectively, which means learning without attentions is wasting time. For example, when a person is reviewing a history lecture while he is thinking what stuffs he needs to buy for holding a home party. For sure this person’s attention is allocated into two totally different fields, and he will not review the history lecture effectively because the limitation of attention in capacity. However, there are some strategies that can help people in general to deal with the limitations of attention, and they will be addressed lately in this section.
Forgetting Curve
Ebbinghaus identified the forgetting curve (Figure 1) idea in 1885[55]. This curve addresses the regular pattern of people’s forgetting. The curve shows that we start to forget immediately and rapidly right after we learn, then the speed of forgetting slows down. To roughly talk about the bases of it, the curve shows that people can forget 50 percent of the knowledge’s content they just learned in an hour. Then, 8 hours, 24 hours, 6 days and 31 days are also the forgetting time points people generally have, and the percentage of the content people hold gets decreasing along with the forgetting time points[56][57]. Consequently, people would totally forget the knowledge. Then, learning a knowledge is meaning less because it will be forgotten after all. Whereas, as long as we know the regular pattern and the certain time points of forgetting, we would have an appropriate strategy which will be addressed lately to deal with forgetting.
Implementations of teaching and learning
Chunking
As being mentioned previously, short-term memory can hold about 9 chunks for around 30 seconds[58], which limits information to be processing; also, attention is limited in capacity. In order to deal with these limitations, chunking is one of the best strategies. In 1956, Miller talked about people’s short-term memory is not sensitive to the chunks’ size, but the number of them[59][60]. Chunks are defined as units of information that are related and partakes traits appears as a group[61][62].
As Collins and Quilian (1970)[63] defined that the lowest level of the class of category's name conforms to the smaller categories, such as dog; and the highest level conforms to the larger categories, such as animal. Similar to the lowest level of the class of category, one view of chunking is to cut a big amount of information into couple of small groups. Taking memory numbers as an example. 5616289938, they may be meaning less to you. Let us put a dash line between them, 56-16-28-99-38, then we get five small groups of number instead of some random numbers. We can also think 56, 28,99 and 38 as ages, while 16 as a year. To make these number more meaningful, we can make a sentence like “my father is 56 year-old in 2016, I will be 28, and my grandmother is 99, my cousin is 38.” Now, these numbers are meaningful, and easy to remember and recall.
The other view is similar to the highest level of the class of category, which is to put and relate pieces of small information into couple of groups. For example, “concert”, “February”, “strawberry”, “Starbucks”, “mailbox”, “short-term”, “learning”, and “chunking”. To memory these words are not easy because they are meaningless to you; hence, it is hard to recall them after 30 seconds. However, by using chunking, we can put these words into two big groups, one is the words start with an "s", and the other one is the words start without an "s". Additionally, to make a relation between these words would help to memory them easier because they become meaningful, such as “I went to a concert in February. Before going, I had a strawberry frappuccino in Starbucks. When I went back home, there was a mail in my mailbox, it talked about how people using chunking to enhance their short-term memory and the quality of learning.”
Therefore, when students receive a big amount of new information or knowledge, they can cut them into groups, and make them relate to something is already known or meaningful. Consequently, students can learn effectively because the new knowledge is cut into appropriate units and put into a group with meaning. As an instructor, for example, instead of just giving random vocabulary, teachers can ask students to put vocabulary into different groups and make meanings for these groups. Additionally, asking them to use these vocabulary to make a logical sentence, in order to learn and memory them.
Managing Cognitive Demands
Studies done by Mayer and Moreno show additional ways in which learners can benefit by managing the demands on cognitive load during learning. Having distinguished 3 different types of cognitive demands, Mayer and Moreno suggest that student concentration on essential learning—the cognitive demands that are necessary for understanding the information— will benefit them more than concentrating on the demands of incidental processing and referential holding [17] . Referential holding is when one holds information in memory temporarily while other information is being processed (taking notes while listening to an instructor, for example), and causes attentional resources to become overtaxed. This study suggests that students focus more of their attention and resources towards essential learning, as spending more resources on referential holding and unnecessary incidental processing tends to lead to cognitive overload and overall poorer learning performance [18] .
Attentional Filtering
According to studies done by Bengson and Luck, attentional filtering is a high influence upon storage capacity in the visual working memory [19] . Similarly to Mayer and Moreno, this study suggests that students who filter out irrelevant information to make more storage room for the necessary information in the visual working memory perform better than students who do not [20] . A subsequent experiment was performed in which 3 groups of students were shown certain visual stimuli and were tested on how well they remembered them. The first group was asked to remember everything that they saw, the second group was asked to remember only specific subsets of stimuli, while the last group was simply told to “do their best.” Results showed that though the “do your best” and subset groups performed quite similarly, the group remembering everything had a much higher cognitive task to perform and were easily overwhelmed [21] . When applying the insights of this study towards instruction and learning, giving instructions that are specific and focus less on the whole and more on subset goal groups may be more beneficial towards students’ cognitive loads, keeping them from being overtaxed.
Reviewing of learned materials
After knowing the regular forgetting pattern, we come to find out doing review practices that follows along with the forgetting curve is an appropriate method to reduce forgetting[64]. To extend this suggestion specifically, according to the forgetting curve, people start to forget immediately after they learn. Therefore, a quick reviewing can decrease the percentage of content we would forget. Thus, students better to review right after they learn the knowledge, for instance, reviewing the lecture content in an hour after the lecture. And before go to sleep, reviewing the content again. After around 24 hours, do the content review again, and try to come up some questions about it or do some practice assignments. Then, reviewing the content every week but not every day, in order to know it quite well and be available to retrieve it quickly when you need it.
Tests of learned knowledge
Recalling can help students to reduce forgetting[65]. As an instructor, tests is a common strategy that asks students to recall the knowledge they have learned. Based on the forgetting curve, at certain time to give an either small test (such as quiz) or a big test (such as midterm) can effectively enhance recalling and reducing forgetting[66]. For example, to give a quiz at the end of the lecture class, which helps students to quick review and restudy the lecture content. Also leaving a small practice assignment about the lecture taught today, and asking students to submit it the following day. After one week, to give another quiz about the lecture, which helps students to recall their knowledge of this content. After a month, to give a midterm which covers the lecture content to students, in order to test their understanding[67] and recall their knowledge about this content.
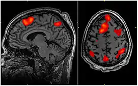
According to the World Health Organization (WHO) it estimated 1 in every 160 children will be diagnosed with Autism Spectrum Disorder (ASD) and currently 39 million individuals are living with an Attention Deficit Hyperactivity Disorder (ADHD) diagnoses [68][69]. Working Memory is a system used to implicate the process of encoding, decoding and maintenance of our memory (Figure 1)(specifically short-term memory) while , at the same time maintaining activity and accessibility [70][71]. Research suggests developmental disabilities such as those as defined in the Diagnostic Statistics Manual of ASD and ADHD impact working memory. This chapter, within the framework of Baddely's working memory model attempts to understand the inner workings of these prevalent disorders.
Autism Spectrum Disorder (ASD)
Autism spectrum disorder (ASD) and autism are both general terms for a group of complex disorders of brain development and such classified as intellectual and developmental disability. These disorders are characterized, in varying degrees, by difficulties in social interaction, verbal and nonverbal communication, repetitive behaviors and difficulties in motor coordination and attention. Because of overlap and variability in symptoms, The DSM IV introduced the concept of autism spectrum disorder as opposed to a stand alone disorder.[72]

While ASD occurs more often in boys than girls, early detection nonetheless is critical in diagnosis because proactive interventions have shown considerable improvements in areas such as language and social skills. Often this early detection is a result of statistically significant diminished capacities often referred to as impairments. Some early signs of impairment include: Communication (social), behaviors (verbal and non-verbal) and interests. While each pattern is unique, most common symptom is diminished capacity of language. DSM IV suggests three main types of ASD:
- Asperger's syndrome (AS)
- Pervasive developmental disorder, not otherwise specified (PDD-NOS)
- Autistic disorder (AD)
The DSM V while it made changes to ASD descriptions, further research should be considered when assessing the changes. Listed below are some of the common autism disorders.
Asperger's Syndrome (AS)
The mildest form of autism, Asperger's syndrome (AS), involves repeated interest, discussion on a specific topic. Children with AS often show great impairment in social skills and uncoordinated; however, above average intelligence has also been reported. High functioning Asperger syndrome (HFAS) if left unsupported can lead to depression and anxiety in later life.[72]
Pervasive Developmental Disorder, Not Otherwise Specified (PDD-NOS)
Because of the generalized description, captures most children and is considered more severe than AS (but less severe as ASD). PDD-NOS symptoms include (but not exclusive) impaired language skills, social interaction and later age of onset. Difference of PDD-NOS from AS and Autism disorder (AD) include fewer repetitive behavior and variability of symptoms offers a challenge to diagnosis.[72]
Autism Disorder
Children who meet more rigid criteria for a diagnosis of autism have autistic disorder. They have more severe impairments involving social and language functioning, as well as repetitive behaviors. Often, they also have mental retardation and seizures. Common symptoms while similar to AS and PDD-NOS also include absences of name recognition and use of single or two word phrases.
While ASD includes many subtypes and often the numbers can be underestimated because of variability, Figure 4 gives an overview of prevalence and incidence rates in the United States (1993-2003). This suggests ASD continues to be persuasive and increasing exponentially (compared to other disabilities). While ASD is the most common of the developmental disabilities, the second most prevalence learning disability is attention deficit hyperactivity disorder.
Autism Spectrum Disorder and Working Memory
Approximately seven percent of children suffer with literacy disorders such as Autism Spectrum Disorder (ASD) and ADHD[73] Working memory is a fundamental function for the developmental process which is known to impact the neuro-cognitive domain with impairments[74][73] Widely held beliefs on ASD and working memory suggest deficits in phonological loop processing, visuo- spatial challenges and inability to regulate executive functioning [74] [75]Controversial debate related to heterogeneity of ASD subjects and the various components of working memory function continue today. For example, a child with ASD may show attention to a specific object (e.g. zippers) while another child with similar diagnosis would not react to the same object (zipper). The second child may show interest in a bike instead. This suggests an impairment with the phonological loop. While ASD and working memory are complex, current research continues to focus on identifying specific impairments and its relationship to the different components of working memory when considering solutions in the instructional environment.
ASD and Central Executive
The central executive is the "most important component of working memory" because it is responsible for monitoring and coordinating the operation of the slave system (phonological loop, visuo-spatial sketch pad) and relates to long term memory [11]
ASD's impairments in social interaction, verbal, non-verbal communication, and restrictive behaviors appear in early childhood and persist in later life. Hill & Frith (2004) (as cited by Cui et al.) suggest this is a result of executive dysfunction. [76]Conflicting research suggests ASD dispute a relationship to central functioning because working memory may also be influenced by factors such as age, IQ, task measured [76] which is often not accounted for in research literature. However, since Hill & Frith were able to use a battery of working memory tasks which aimed to isolate to Asperger syndrome in early-school-age children, (thereby removing the variables) were able to address these concerns and therefore it can be concluded there is a partial deficit in central executive.
ASD and Phonological Loop
The phonological loop is assumed to be responsible for the manipulation of speech based information[77] It may be extremely difficult to study ASD and its relationship with the phonological loop because, as was mentioned, the heterogeneity of ASD subjects. Differences in each ASD individual with how they utilize the spoken and written language is unique; yet often when considering working memory and the phonological loop, non ASD individuals show similarities in learning. In spite of this variability, language impairments include decreased communication, phonology, semantics, and syntax.[78] Fischbach et al (2013)[73] conclude because of left-hemisphere brain deficits commonly found with ASD this may impact the ability of processing language. They add because of these deficits, compensatory effects in right hemisphere could lead to strengths in visuo-spatial processing (discussed below). While his compensation is important in that memory can adapt to brain disruptions, the challenge is that the left hemisphere does not advance functioning. It is important to note, as most research on ASD suggests, because of the changes in early development, phonological store is greatly impacted in reaction time among adolescents when studying speech in phonological short term memory (PSTM). Comparisons with typically developing (TD) subjects, the level of cognitive load during the phonological loop processing for ASD is significantly associated with reaction time and accuracy. This suggests perception of speech impacts access to speech. Controversy remains with this assertion when Williams et al (2014)[79] while studying visuo-spatial memory argue no association with impairment of verbal storage and ASD. [79]
ASD and Visuo-Spatial Sketch Pad
In working memory, the visuo-spatial sketch pad is assumed to be responsible for manipulating visual images. Prospective memory (PM) are highly prevalent in daily life and range from relatively simple tasks to extreme life-or-death situations. Examples include remembering to pick up milk at the grocery store after work or remembering to attach the safety harness when climbing buildings. This ability of the PM to remember to carry out a task (Williams et al, 2014)[79] conclude that when considering time based tasks, ASD subjects because they show "diminished capacity have difficulty with processing visual storage", an important component of working memory and the visuo-spatial sketch pad (Sachse et al., 2013)[80], when considering high functioning ASD (HFASD) such as Asperger syndrome while they did not find verbal memory impairment, conclude because visual motor information is impaired spatial working memory (SWM) "was impaired because of differences in cortical networks which led to higher number of working memory errors". [80] Combining all aspects of working memory (central executive, phonological loop and visuo-spatial sketchpad), Because of the variability in ASD, researchers looked at various tasks specific to the working memory components with specific age populations (early school aged). Because of matched IQ, HFASD had significant disadvantages around visuo-spatial sketchpad implicated by partial deficits in central executive.[76]
Unlike ASD and working memory implications, ADHD has very different etiology on working memory.
Attention deficit hyperactivity disorder (ADHD)
According to the Diagnostic and Statistical Manual of Mental Disorders, 5th edition, DSM V, it states the diagnostic features of ADHD. People with ADHD would show a persistent phenomenon of Inattention and/or hyperactivity-impulsivity that affect development and/or normal functioning. [81] (Reference table 1)
Inattention: 6 or more symptoms present for children who are below 16 years of age, or 5 or more symptoms must be presented for adolescents older than 17; these symptoms of inattention have been present for at least 6 months, and they are inappropriate for developmental level:[81] | Hyperactivity and Impulsivity: 6 or more symptoms present for children who are below 16 years of age, or 5 or more symptoms must be presented for adolescents older than 17; these symptoms of hyperactivity-impulsivity have been present for at least 6 months to an extent that is disruptive and inappropriate for the person’s developmental level:[81] |
---|---|
• Often fails to give close attention to details or makes careless mistakes in schoolwork, at work, or with other activities.
• Often has trouble holding attention on tasks or play activities. • Often does not seem to listen when spoken to directly. • Often does not follow through on instructions and fails to finish schoolwork, chores, or duties in the workplace . • Often has trouble organizing tasks and activities. • Often avoids, dislikes, or is reluctant to do tasks that require mental effort over a long period of time. • Often loses things necessary for tasks and activities . • Is often easily distracted • Is often forgetful in daily activities.[81] |
• Often fidgets with or taps hands or feet, or squirms in seat.
• Often leaves seat in situations when remaining seated is expected. • Often runs about or climbs in situations where it is not appropriate (adolescents or adults may be limited to feeling restless). • Often unable to play or take part in leisure activities quietly. • Is often "on the go" acting as if "driven by a motor". • Often talks excessively. • Often blurts out an answer before a question has been completed. • Often has trouble waiting his/her turn. • Often interrupts or intrudes on others[81] |
In addition, the following conditions must be met:
• Several inattentive or hyperactive-impulsive symptoms were present before age 12 years.
• Several symptoms are present in two or more setting, (such as at home, school or work; with friends or relatives; in other activities).
• There is clear evidence that the symptoms interfere with, or reduce the quality of, social, school, or work functioning.
• The symptoms are not better explained by another mental disorder (such as a mood disorder, anxiety disorder, dissociative disorder, or a personality disorder). The symptoms do not happen only during the course of schizophrenia or another psychotic disorder.[81]
Sub-types of ADHD
There are three sub-types of ADHD that categorized by the different categorize of ADHD.
• Predominantly Hyperactive-Impulsive Type: in order to fulfill this sub-type, in the past six weeks, the person has filled the entire requirement for symptoms of Hyperactivity-impulsivity, but not the symptoms of inattention
• Predominantly Inattentive Type: In this sub-type, the person has filled the entire requirement for symptoms of inattention, but not the symptoms of Hyperactivity-impulsivity.
• Combination Type: In this sub-type, the person has filled both requirement for the symptoms of Hyperactivity-impulsivity and inattention. This is the most common type of ADHD. [82]
With these definitions of ADHD and ASD in mind (including symptoms), it is important to consider its relationship with working memory.
Attention Deficit Hyperactivity Disorder and Working Memory

People with ADHD usually accompany with some difficulties on their working memory, when we focus on the brain structure of the ADHD children, we could see that their brain structures are usually differ from children without ADHD, Several brain regions and structures, such as pre-frontal cortex, striatum, basal ganglia, and cerebellum tend to be smaller than people without ADHD. The overall brain size from ADHD children is generally 5% smaller than children without ADHD (Figure 5).These brain regions are closely related to how our working memory works, especially the pre-frontal cortex[83], thus with a smaller brain size, ADHD children’s working memory would perform poorly.
ADHD and Central Executive
The central executive seems equally impaired in both subtypes. A research used the Chessboard Task to test whether the subjects could maintain and reorganize visuospatial information, thus the Central Executive has been tested in this research. The result shown that ADHD children score lower than the normal students, nevertheless, the result of ADHD children improved when they received high level of reinforcement but not the control group [84].
In another research, the researchers used The Digits Backward, to test their capacity to store and manipulate information, and The Dual Task, to test their ability to coordinate two separate tasks. The result shown that ADHD children repeated fewer digits than the controls in The Digits Backward task and gain lower score in The Dual Task, these tasks show that central executive functions are critical for the variance in goal-setting skills in children with ADHD [85].
ADHD and Phonological Loop
ADHD children performed similarly in the Phonological loop tests with normal children, their score in The Digits Forward and The Word Recall tasks are similar. These tasks tested whether subjects could repeat the digits in a correct order. This result is consistent with the results of several earlier studies showing that deficits in the phonological loop are not characteristic of children with ADHD [85].
There is a research accompanied the ADHD children with Specific language impairment, also suggested that ADHD children have less impact in phonological loop. ADHD-C children with SLI scored significantly lower than those without SLI and normal children. Which support the hypothesis that Phonological loop are not the characteristic of ADHD children [86].
ADHD and Visuo-spatial Sketchpad
ADHD-I children and ADHD-C children who have motivational deficits, they have a destructive effect on their visuo-spatial working memory performance, according to The Chessboard Task, their score are lower than the control group [86]. In Visuo-Spatial Test, it measures the ability to remember the number filled matrix, the result shown that children with ADHD performed more poorly than the control group [85]. Nevertheless, High reinforcement can improve the working memory performance in both ADHD groups, but not the control group [86].
There are some minor differences between different subtypes ADHD. In the task of the Hopkins Verbal developmental Test–Revised (HVLT-R), The official Norwegian research versions, and the Brief Visuospatial Memory Test-Revised (BVMT-R), these tasks measure the performance of Auditory or verbal and visuospatial ability. The results shown that there are more impairment about developmental and delayed memory in the ADHD-I children when we compared the result with the ADHD-C children [87].
ADHD and ASD Developmental Implication
There are several behavioral strategies and treatments could help the ADHD patients, in order to improve their behaviors. For example a good and effective Classroom management could change the behavior of ADHD students,a more structured classroom, provide closer attention to students, and limitations of distractions could help to change the behavior of ADHD, these modifications may not have an effective assessment, but they usually included in the treatment plans.[88] Some behavior therapies can be implemented to teachers and parents through some training programs, like Parent Management Training, Operant-conditioning usually involved in these programs, a positive reinforcement (consistent rewards for achieving goals and idea behavior) and positive punishment ( provide a negative consequence after the present of an undesired behavior).[88] Teachers learn classroom Management as a technique to change behavior, Token economy ( student earns rewards when performing desired behaviors and loses the rewards when performing undesired behaviors), daily feedback and structured classroom activities
However,a research in 2013 shown that working memory training like the Cognitive training could only provide a short term improvements, and there are only little evidence that those improvements are permanent.[89] Also in 2014, researchers analyzed that the current evidence for the accuracy of cognitive training for treatment of ADHD symptoms is not completed.[90]
Conclusion
The purpose of this chapter was to provide insight on appropriate and effective implementations of learning, through the understanding of the mechanics of memory. This chapter begins with an introduction to multimedia learning and provides an idea as to how learning is more effective through the use of words and images. It presents the topics of multimedia learning, which includes theories of cognitive load, dual-coding, and active processing. The next key topic discusses the information processing model, which explores the process of human memory, usually referred to as the memorization of information. Three main memory structures are said to be sensory memory, short-term/working memory and long-term memory. Each structure has specific nerves required in order to function properly. This processing model also provides a foundation for the learning process. Moving on, the idea behind cognitive process focuses more on encoding process and retrieval process which occurs amidst short-term memory and long-term memory. By understanding how these two processes work, we can then discern how to make information meaningful, and how to access information when required. Furthermore, by examining the systems of short-term memory and long-term memory, it provides us with an idea about how we acquire knowledge. Forgetting curve and limited attention capacity tells people the challenges of learning. By recognizing the challenges faced in learning, use of strategies such as chunking, reviewing, and tests, as well as teaching strategies (mentioned in this chapter) are ways that can help people deal with these challenges. Teachers can apply these strategies on students in order to help them learn to be more efficient and effective, or students can use these implementations on their own. By the end of this chapter, the hope is to foster a better understanding and knowledge about memory and the underlying processes behind it, while providing insight on the appropriate implementation of learning.
Glossary
Active processing: refers to the idea that meaningful learning takes place only when humans actively organize, integrate and build connections with prior and new knowledge.
Acoustic: relating to sound or the sense of hearing.
Attention: the capacity of focusing on a stimulus.
Articulatory loop:holds acoustic information
Chunks: defined as units of information that are related and partakes traits appears as a group
Cognitive load: total amount of load that can be placed on the working memory
Cognitive development:a gradual changes in our mental processes of becoming more and more advanced over time.
Decoding: convert a code message into intelligible language.
Dual-Coding theory: a theory proposed by Allan Paivio that suggests that the human memory detects visual and verbal responses as separate systems.
Ebbinghaus’ forgetting curve: a curve presents memory is decreased as time goes by.
Elaborative: worked out with great care and nicety of detail.
Encoding: conver information or an instruction into a particular form.
Executive control system:controls the other two systems and decides what kind of the information enters memory.
Information processing model: theory proposed by Atkinson and Shiffrin which compares sequence of computer processing to that of humans.
Learning: active process of acquiring new information
Learning process: the journey of learning, works as a mental process
Long term memory: It can maintain information for a long period of time. It could be days, weeks, months and years.
Memorization: a process of committing something to memory.
Memory: the process of recording and retrieving experiences and information
Metacognition: awareness and understanding of one's thought processes.
Multimedia learning: a type of learning model based on the belief that materials presented through images and words improve understanding, than in words or pictures alone.
Recalling: to retrieve the information from long-term memory.
Retention:the continued possession, use , or control of something.
Retrieval: a process of getting something back from somewhere.
Reviewing: to relook at and rememory the knowledge that has been learned.
Self-questioning: examination of one's own actions and motives.
Semantic: realting to meaning in language or logic.
Sensory memory is a system that holds environment input in sensory registers so that perceptual analyses can work before that information fade away.
Two views of chunking: One view is to cut a big amount of information into couple of small groups. The other view is to put and relate pieces of small information into couple of groups
Visual-spatial sketch pad: holds visual spatial information
Aural data – Data that is relating to or perceived by the ear.
Intellectual disability- A disability characterized by significant limitations in both intellectual functioning and in adaptive behavior, which covers many everyday social and practical skills. This disability originates before the age of 18.
Developmental disability- A diverse group of chronic conditions that are due to mental or physical impairments.
Impaired language skills- A language disorder that delays the mastery of language skills in children who have no hearing loss or other developmental delays.
Variability- How spread out or closely clustered a set of data is.
Impairments- In health, any loss or abnormality of physiological, psychological, or anatomical structure or function, whether permanent or temporary.
Mental retardation- A condition diagnosed before age 18, usually in infancy or prior to birth, that includes below-average general intellectual function, and a lack of the skills necessary for daily living. When onset occurs at age 18 or after, it is called dementia, which can coexist with an MR diagnosis.
Psychotic disorder- Severe mental disorders that cause abnormal thinking and perceptions.
Executive dysfunction- A disruption to the efficacy of the executive functions, which is a group of cognitive processes that regulate, control, and manage other cognitive processes.
Cognitive load- the total amount of mental effort being used in the working memory.
Diagnostic Statistical Manual (DSM)- The standard classification of mental disorders used by mental health professionals in the United States. It is intended to be used in all clinical settings by clinicians of different theoretical orientations
Heterogeneity- A word that signifies diversity.
Pre-frontal cortex- The cerebral cortex which covers the front part of the frontal lobe.
Striatum- Also known as the neostriatum or striate nucleus, is a subcortical part of the forebrain and a critical component of the reward system.
Basal ganglia- A group of structures linked to the thalamus in the base of the brain and involved in coordination of movement.
Cerebellum- The part of the brain at the back of the skull in vertebrates. Its function is to coordinate and regulate muscular activity.
Frontal cortex- Cortex of the frontal lobe of the cerebral hemisphere
Motivational deficits- Motivation is defined as the product of expectancies and values.
Statistically significant- The likelihood that a result or relationship is caused by something other than mere random chance.
Executive functioning- A set of mental skills that help you get things done. These skills are controlled by an area of the brain called the frontal lobe.
Cortical-Consisting of cortex,the outer layer of the cerebrum.
Suggested Readings
Burt, B., & Gennaro, P. (2010). Behavior solutions for the inclusive classroom: a handy reference guide that explains behaviors associated with Autism, Asperger's ADHD, sensory processing and other special needs. Canada: The Donahue Group. • Eysenck, M. W., & Keane, M. T. (2001). Cognitive psychology (4th ed.). New York: Psychology Press.
• Mccabe, J. (2010). Metacognitive awareness of learning strategies in undergraduates. Mem Cogn Memory & Cognition, 39(3), 462-476.
• Miller, M. D. (2011). What College Teachers Should Know About Memory: A Perspective From Cognitive Psychology. College Teaching, 59(3), 117-122.
References
- ↑ Resnick, L. B., Greeno, J. G., & Collins, A. M. (1996). Cognition and instruction.Handbook of Educational Psychology, 15-46.
- ↑ Sternberg, R. J., & Sternberg, K. (2012). Cognitive Psychology (6th ed.). Belmont, CA, America: Wadsworth.
- ↑ Gathercole & Alloway, 2006, Practitioner Review: Short-term and working memory impair-ments in neurodevelopmental disorders: diagnosis and remedial support. Journal of Child Psychology and Psychiatry, 47(1), 4–15.
- ↑ Watson, A. (1997). Why can’t a computer be more like a brain? Science, 277(5334), 1934-1936.
- ↑ Leventon & Bauer, 2016.
- 1 2 3 Bruning, R. H., Schraw, G. J., & Norby, M. M. (2011). Cognitive Psychology and Instruction. Fifth Edition. Boston, MA: Pearson.
- 1 2 3 4 Howes, M. B. (2006). Human memory: structures and functions. SAGE Publishing.
- 1 2 Swanson, H. L. & Ashbaker, M. H. (2000). Working memory, short-term memory, speech rate, word recognition, and reading comprehension in learning disabled readers: Does the executive system have a role? Intelligence, 28(1), 1-30.
- 1 2 McLean, J. F. & Hitch, G. J. (1999) Working memory impairments in children with specific arithmetic learning difficulties. Journal of Experimental Child Psychology 74, 240–260.
- ↑ McLeod, S. (2012). Working memory. SimplyPsychology. Retrieved from http://www.simplypsychology.org/working%20memory.html
- 1 2 3 4 Baddeley, A. (1996). Exploring the central executive. The Quarterly Journal of Experimental Psychology, 49A(1), 5-28.
- 1 2 Swanson, H. L. & Ashbaker, M. H. (2000). Working memory, short-term memory, speech rate, word recognition, and reading comprehension in learning disabled readers: Does the executive system have a role? Intelligence, 28(1), 1-30.
- 1 2 McLeod, S. (2012). Working memory. SimplyPsychology. Retrieved from http://www.simplypsychology.org/working%20memory.html
- ↑ Reed, S. K. (2006). Cognitive Architectures for Multimedia Learning. Educational Psychologist, 41(2), 87-98.
- ↑ Schweppe, J., & Rummer, R. (2013). Attention, Working Memory, and Long-Term Memory in Multimedia Learning: An Integrated Perspective Based on Process Models of Working Memory. Educational Psychology Review Educ Psychol Rev,26(2), 285-306.
- ↑ Schweppe, J., & Rummer, R. (2013). Attention, Working Memory, and Long-Term Memory in Multimedia Learning: An Integrated Perspective Based on Process Models of Working Memory. Educational Psychology Review Educ Psychol Rev,26(2), 285-306.
- ↑ Reed, S. K. (2006). Cognitive Architectures for Multimedia Learning. Educational Psychologist, 41(2), 87-98.
- ↑ Reed, S. K. (2006). Cognitive Architectures for Multimedia Learning. Educational Psychologist, 41(2), 87-98.
- ↑ Eilam, B., & Poyas, Y. (2008). Learning with multiple representations: Extending multimedia learning beyond the lab. Learning and Instruction, 18(4), 368-378.
- ↑ Mayer, R.E. (2005). Cognitive Theory of Multimedia Learning. (2nd Ed.), The Cambridge handbook of multimedia learning. Cambridge, NY: Cambridge University Press.
- ↑ Mayer, R.E. (2005). Cognitive Theory of Multimedia Learning. (2nd Ed.), The Cambridge handbook of multimedia learning. Cambridge, NY: Cambridge University Press.
- ↑ Sternberg, R. J., & Sternberg, K. (2012). Cognitive Psychology (6th ed.). Belmont, CA, America: Wadsworth.
- ↑ Ruisel, I. (2010). Human Knowledge in the Context of Cognitive Psychology.Studia Psychologica, 52(4), 267-284.
- ↑ Atkinson, R. C. (1967). Human memory: A proposed system and its control processes. Stanford, CA: Institute for Mathematical Studies in Social Sciences.
- ↑ Hockley, W. (2002). The Modal Model Then and Now. Journal of Mathematical Psychology, Volume 44, 336–345. doi:10.1006/jmps.2000.1306
- ↑ Bruning, R., Schraw, G., Norby, M., & Ronning, R. (2004). Cognitive psychology and instruction (4th ed.). Pearson Education.
- ↑ Garcia, R., Mammarella, I., Pancera, A., Galera, C., & Cornoldi, C. (2015). Deficits in visual short-term memory binding in children at risk of non-verbal learning disabilities. Research in Developmental Disabilities, 45-46. Retrieved from http://www.sciencedirect.com.proxy.lib.sfu.ca/science/article/pii/S0891422215001213
- ↑ Bruning, R., Schraw, G., Norby, M., & Ronning, R. (2004). Cognitive psychology and instruction (4th ed.). Pearson Education.
- ↑ Bruning, R., Schraw, G., Norby, M., & Ronning, R. (2004). Cognitive psychology and instruction (4th ed.). Pearson Education.
- ↑ Bruning, R., Schraw, G., Norby, M., & Ronning, R. (2004). Cognitive psychology and instruction (4th ed.). Pearson Education.
- ↑ Baddeley, A. (2012). Working Memory: Theories, Models and Controversies. Annual Review of Psychology,63, 1-29.
- ↑ Bruning, R., Schraw, G., Norby, M., & Ronning, R. (2004). Cognitive psychology and instruction (4th ed.). Pearson Education.
- ↑ Bruning, R., Schraw, G., Norby, M., & Ronning, R. (2004). Cognitive psychology and instruction (4th ed.). Pearson Education.
- ↑ Bruning, R., Schraw, G., Norby, M., & Ronning, R. (2004). Cognitive psychology and instruction (4th ed.). Pearson Education.
- ↑ Woolfolk, A., Winne, P., & Perry, N. (2016). Educational Psychology. Ontario: Pearson Education.
- ↑ Woolfolk, A., Winne, P., & Perry, N. (2016). Educational Psychology. Ontario: Pearson Education.
- ↑ Woolfolk, A., Winne, P., & Perry, N. (2016). Educational Psychology. Ontario: Pearson Education.
- ↑ Woolfolk, A., Winne, P., & Perry, N. (2016). Educational Psychology. Ontario: Pearson Education.
- ↑ Yingxu,W. (2009). Formal Description of the Cognitive Process of Memorization. M.L. Gavrila et al. (Eds): Trans. on Comput. Sci. V, LNCS 5540, 81-98.
- ↑ Michael,C. C. Kuo, Karen, P. Y. Liu, Michelle, B., Jacqueline, W., Nikki, T., Rosalind,B., & Leung-Wing,C. (2014).Memory Encoding Processes in Young and Old Adults. Arch Neurosci, 2 (1): ei19813
- ↑ Gigerenzer, G., & Goldstein, D. G. (1996). Reasoning the fast frugal way: Models of bounded rationality. Psychological Review, 103, 650-669
- ↑ Patrick, H. , Thorsten, P., Lilian, A. E. W., & Kerstin, J. (2015). Neural Signatures of Controlled and Automatic Retrieval Process in Memory-based Decision-making. Journal of Cognitive Neuroscience, 28;1, 69-83
- ↑ Anderson,J. R. (1974). Retrieval of propositional information from long-term memory. Cognitive Psychology, 6, 451-474.
- ↑ Ericsson, K. a., & Kintsch, W. (1995). Long-term working memory. Psychological Review, 102, 211-245.
- ↑ Flavell, J. H. (1979). Metacognition and cognitive monitoring: A new area of cognitive developmental inquiry. American Psychologist, 34 (10): 906-911
- ↑ Passer, M., Smith, R., & Atkinson, M. (2011). Psychology: Frontiers and Applications, McGraw-Hill Ryerson; 4th edition. ISB-13: 978-0-07-000526-6
- ↑ Passer, M., Smith, R., & Atkinson, M. (2011). Psychology: Frontiers and Applications, McGraw-Hill Ryerson; 4th edition. ISB-13: 978-0-07-000526-6
- ↑ Passer, M., Smith, R., & Atkinson, M. (2011). Psychology: Frontiers and Applications, McGraw-Hill Ryerson; 4th edition. ISB-13: 978-0-07-000526-6
- ↑ Bruning, R. H., Schraw, G. J., & Norby, M.M. (2011). Cognitive Psychology and Instruction, Bostom, MA, Allyn & Bacon. ISB-13: 9780132368971
- ↑ Passer, M., Smith, R., & Atkinson, M. (2011). Psychology: Frontiers and Applications, McGraw-Hill Ryerson; 4th edition. ISB-13: 978-0-07-000526-6
- ↑ Bruning, R. H., Schraw, G. J., & Norby, M.M. (2011). Cognitive Psychology and Instruction, Bostom, MA, Allyn & Bacon. ISB-13: 9780132368971
- ↑ Passer, M., Smith, R., & Atkinson, M. (2011). Psychology: Frontiers and Applications, McGraw-Hill Ryerson; 4th edition. ISB-13: 978-0-07-000526-6
- ↑ Bruning, R. H., Schraw, G. J., & Norby, M.M. (2011). Cognitive Psychology and Instruction, Bostom, MA, Allyn & Bacon. ISB-13: 9780132368971
- ↑ Dosher, B. A., Han, S., & Lu, Z. (2010). Perceptual learning and attention: Reduction of object attention limitations with practice. Vision Research, 50(4), 402-415. doi:10.1016/j.visres.2009.09.010
- ↑ Wherry, R. J. (1932). The curve of forgetting: its statistical application. Journal Of Educational Psychology, 23(8), 621-624. doi:10.1037/h0070645
- ↑ Easley, H. (1937). The curve of forgetting and the distribution of practice. Journal Of Educational Psychology, 28(6), 474-478. doi:10.1037/h0057409
- ↑ Wherry, R. J. (1932). The curve of forgetting: its statistical application. Journal Of Educational Psychology, 23(8), 621-624. doi:10.1037/h0070645
- ↑ Passer, M., Smith, R., & Atkinson, M. (2011). Psychology: Frontiers and Applications, McGraw-Hill Ryerson; 4th edition. ISB-13: 978-0-07-000526-6
- ↑ Bruning, R. H., Schraw, G. J., & Norby, M.M. (2011). Cognitive Psychology and Instruction, Bostom, MA, Allyn & Bacon. ISB-13: 9780132368971
- ↑ Miller, G. A. ( 1956 ) The magical number seven, plus or minus two: some limits on our capacity for processing information . Psychological Review , 101 ( 2 ), 343-352.
- ↑ Miller, G. A. ( 1956 ) The magical number seven, plus or minus two: some limits on our capacity for processing information . Psychological Review , 101 ( 2 ), 343-352.
- ↑ Obaidellah, U. H., & Cheng, P. C. (2015). The role of chunking in drawing Rey complex figure. Perceptual And Motor Skills,120(2), 535-555. doi:10.2466/24.PMS.120v17x6
- ↑ Collins, A.M., & Quillian, M. R. (1970). Does category size affect categorization time? Journal of Verbal Learning and Verbal Behavior, 9(4), 432-438. doi: 10.1016/S00225371(70)80084-6
- ↑ Easley, H. (1937). The curve of forgetting and the distribution of practice. Journal Of Educational Psychology, 28(6), 474-478. doi:10.1037/h0057409
- ↑ Carpenter, S. K., Pashler, H., Wixted, J. T., & Vul, E. (2008). The effects of tests on learning and forgetting. Memory & Cognition, 36(2), 438-448. doi:10.3758/MC.36.2.438
- ↑ Carpenter, S. K., Pashler, H., Wixted, J. T., & Vul, E. (2008). The effects of tests on learning and forgetting. Memory & Cognition, 36(2), 438-448. doi:10.3758/MC.36.2.438
- ↑ Obaidellah, U. H., & Cheng, P. C. (2015). The role of chunking in drawing Rey complex figure. Perceptual And Motor Skills,120(2), 535-555. doi:10.2466/24.PMS.120v17x6
- ↑ World Health Organization. (2016). Autism spectrum disorders. Retrieved from http://www.who.int/mediacentre/factsheets/autism-spectrum-disorders/en/
- ↑ Vos, T., Barber, R. M., Bell, B., Bertozzi-Villa, A., Biryukov, S., Bolliger, I., & ... Atkins, e. S. (2015). Global, regional, and national incidence, prevalence, and years lived with disability for 301 acute and chronic diseases and injuries in 188 countries, 1990–2013: A systematic analysis for the Global Burden of Disease Study 2013. The Lancet, 386(9995), 743-800. doi:10.1016/S0140-6736(15)60692-4
- ↑ Bruning, R., Schraw, G., & Norby, M. (2010). Cognitive psychology and instruction (5th ed). Pearson Merrill Prentice Hall, Upper Saddle River, NJ. ISBN: 978-0132368971
- ↑ Gluck, M. A., Mercado, E., & Myers, C. E. (2014). Learning and Memory: From Brain to Behavior. (2nd Edition). Worth Publishing
- 1 2 3 American Psychiatric Association (2000, 2010). Diagnostic and statistical manual of mental disorders (Revised 4th ed.. and 5th ed.) Washington DC.
- 1 2 3 Fischbach, A., Konen, T., & Hasselhorn, M. (2014). What is not working in working memory of children with literacy disorders? Evidence from three-yer-longitudinal study. Read Writ, 27 267-286.
- 1 2 Bordignon, S., Giulini, E., Trentini, C.M., & Bosa, C.A. (2015). Memory in children and adolescents with autism spectrum disorder: a systematic literature review. Psychology and Neuroscience, 8, 211-245.
- ↑ Vries, M.D., & Geurts H.M. (2014). Beyond individual differences: are working memory and inhibition informative specifiers with ASD? Journal of Neural Transmission, 121,1183-1198.
- 1 2 3 Cui, J., Gao, D., Chen., Zou, X., & Wang. (2010). Working memory in early-school-age children with Asperger's syndrome. Journal of Autism and Developmental Disorders, 40, 958-967.
- ↑ Baddeley, A. (2003). Working memory: looking and looking forward. Neuroscience, 4, 829-839
- ↑ Loucas, T., Riches, N.G., Charman, T., Pickles, A., Simonoff, E., Chandler, S., & Baird, G. (2010). Speech perception and phonological short-term memory capacity in language impairment: preliminary evidence from adolescents with specific language impairment (SLI) and autism spectrum disorders (ASD). International Journal of language and Communication Disorders, 45, 275-286.
- 1 2 3 Williams, D.M., Jarrold C., Grainger, C., & Lind, S.E. (2014). Diminished time-based, but undiminished event-based, prospective memory among intellectually high functioning adults with autism spectrum disorder: relation to working memory ability. Neuropsychology, 28, 30-42.
- 1 2 Sache, M., Schlitt, S., Hainz, D., Ciaramidaro, A., Schirman, S., Walter, H., Poustka, F., Bolte, S., & Freitg., C.M. (2013). Executive and visuo-motor function in adolescents and adults with Autism spectrum disorder. Journal of Autism Developmental Disorders, 43, 1222-1235.
- 1 2 3 4 5 6 American Psychiatric Association (2013). Diagnostic and Statistical Manual of Mental Disorders (5th ed.). Arlington: American Psychiatric Publishing. pp. 59–65. ISBN 0890425558
- ↑ Simon, Harvey. (2013, July 03).Attention deficit hyperactivity disorder. Retrieved from umm.edu/health/medical/reports/articles/attention-hyperactivity-disorder
- ↑ Attitude Editors. (2015). ADHD Is Biological, What causes attention deficit disorder? Although researchers know much about ADHD, they can’t pinpoint its cure. Retrieved from www.additudemag.com/adhd-wed/article/5008.html
- ↑ Dovis, S., Van der Oord, S., Wiers, R. W., & Prins, P. M. (2015). ADHD subtype differences in reinforcement sensitivity and visuospatial working memory. Journal Of Clinical Child And Adolescent Psychology, 44(5), 859-874. doi:10.1080/15374416.2014.895940
- 1 2 3 Nyman, A., Taskinen, T., Grönroos, M., Haataja, L., Lähdetie, J., & Korhonen, T. (2010). Elements of working memory as predictors of goal-setting skills in children with attention-deficit/ hyperactivity disorder. Journal Of Learning Disabilities, 43(6), 553-562. doi:10.1177/0022219410375001
- 1 2 3 Jonsdottir, S., Bouma, A., Sergeant, J. A., & Scherder, E. A. (2005). The impact of specific language impairment on working memory in children with ADHD combined subtype. Archives Of Clinical Neuropsychology, 20(4), 443-456. doi:10.1016/j.acn.2004.10.004
- ↑ Andersen, P. N., Egeland, J., & Øie, M. (2013). Learning and memory impairments in children and adolescents with attention-deficit/hyperactivity disorder. Journal Of Learning Disabilities, 46(5), 453-460.
- 1 2 Clinical practice guideline: Treatment of the school-aged child with attention-deficit/hyperactivity disorder. (2002). Journal of the American Academy of Child & Adolescent Psychiatry, 41(5), 537
- ↑ Melby-Lervåg, M., & Hulme, C. (2013). Is working memory training effective? A meta-analytic review. Developmental Psychology, 49(2), 270-291. doi:10.1037/a0028228
- ↑ Sonuga-Barke, E., Brandeis, D., Holtmann, M., & Cortese, S. (2014). Computer-based cognitive training for ADHD: A review of current evidence. Child And Adolescent Psychiatric Clinics Of North America, 23(4), 807-824. doi:10.1016/j.chc.2014.05.009