< The Zebrafish in Toxicology





Reproduction - Testis

Normal Histology


testis location, general structure

The testis [T] is a paired organ, located bilaterally between the abdominal wall [AW] and the swim bladder [SB]. At the level of this section, the testis is further bounded by the liver [L] and mesenchymal tissue [mt] (mainly adipose tissue); dorsally it is adjacent to the kidney and ventrally to the intestines (not visible on this level).

Other structures in the anterior part of this section are:

  • head kidney [hk]
  • opercles and gills [o-g]
  • pharyngeal cavity and epithelium [pc]
  • pharyngeal musculature [pm]


Coronal section of a juvenile male zebrafish, 15 mm (6 weeks); H&E staining


The axial section below of an adult male zebrafish is from the rostral part of the abdominal cavity, where the testis [T] is in the upper part, between swim bladder [sb] and abdominal wall. The area of testis will show largely similar in more caudal sections. The abdominal organs shown in this image are liver [L], pancreas [arrows], spleen [S], intestinal loops [I]. Major blood vessels in this section are dorsal aorta [upper arrow] and posterior cardinal vein [lower arrow], embedded in the kidney [k] intestinal arteries [arrows], intestinal veins [arrows] and epigastric vein [arrow], partly embedded in the liver.

The horizontal skeletogenous septum [horizontal line] separates the epaxialis [em] and hypaxialis muscles [hm], which are inserted to this septum and to the spine [sp], and which are also bound to the skin. In the midline, the epaxial muscles insert to the vertical skeletogonous septum [vertical line]. Although organised in myotomes which are oriented perpendicular to the length axis of the fish, these muscles appear cross-sectioned due to their waved course [middle diagram]. The epaxialis includes the dorsal supracarinalis muscles [upper outline], the hypaxialis includes the ventral infracarinalis muscles [lower outline]. The lateralis superficialis muscles [left/right outlines] overlay the peripheral part of the horizontal septum. Pleural rib structures [arrows] can be observed within the hypaxialis.





structure of the mature testis - tubules

the zebrafish testis is composed of anastomosing seminiferous tubules In these images, the tubule lumina are highlighted (white) to enhance the testis structure; a masked and unmasked image are given for comparison.


Adult male zebrafish; drawing and H&E staining

This structure is in line with the characterization of teleost testis by Grier [Grier-HJ, Linton-JR, Leatherland-JF, and De Vlaming-VL. Structural evidence for two different testicular types in teleost fishes. Am. J. Anat. 159: 331-345; 1980. Grier-HJ. Comparative organization of Sertoli cells including the Sertoli cell barrier; in: Russell-LD and Griswold-MD (eds.), The Sertoli Cell: 703-739. Clearwater FL, Cache River Press 1993.].





Each tubule is bounded by a basement membrane and a connective tissue sheet [bm/ct] (see Details below). Most tubules are covered with seminiferous epithelium [se], the structure of which is shown on the section below. Mature sperm is voided into the tubular lumen, which than serves as a storage compartment. The tubular lumen system is conntected to main efferent tubules (ducts [d]), which are located at the periphery of the organ (i.e. rostral and caudal poles, and the against median border, as shown here); these efferent tubules have no or only small clusters of seminiferous tissue. These areas should be avoided when analysing the status of the testis.


Adult male zebrafish; H&E staining



structure of the mature testis - spermatocysts

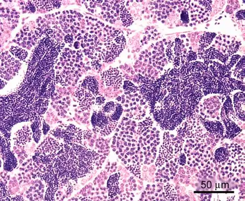
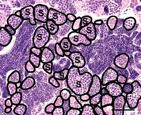
the seminiferous tubules are lined with cysts

The structural organisation of tubules [T] is visible at medium power magnification.



In the image below it is also evident, that the lining seminiferous tissue is built of clusters of cells, the so called spermatocysts [S].
The composition of these spermatocysts is best viewed at high magnification, see next section.
The lumen [L] of the tubules is filled with mature sperm.

Note, that zebrafish have continuous reproduction, and therefore show a balanced presence of proliferating, differentiating, maturing spermatogenic stages, and mature sperm. In contrast, the testis of seasonal breeders shows predominance of one of these successive stages predominates; these testes may be classified accordingly.


Adult male zebrafish; H&E staining




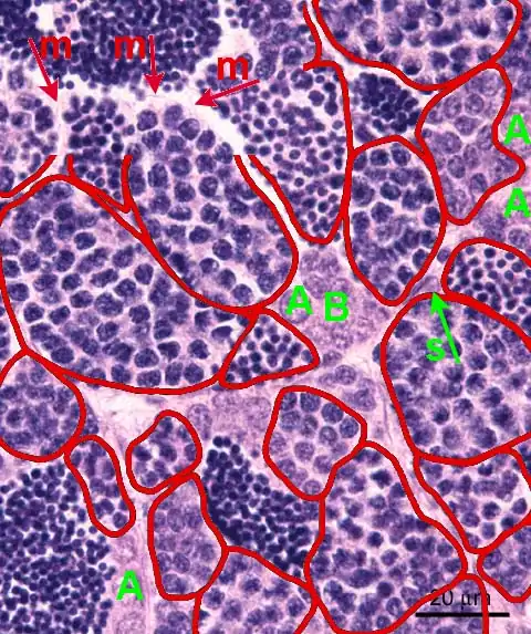
structure of the mature testis - details

The seminiferous tubules [T] are separated by thin strands of interstitial connective tissue [highlighted in right image]. This interstitial tissue contains connective tissue cells [c] and Leydig cells [L] (intermediate sized cells with a round-oval nucleus), which produce androgen when stimulated by the pituitary-derived gonadotropic hormone.

At the luminal side of the basement membrane which bounds the tubules, large solitary spermatogonium A cells [A] can be discerned. These germ cells are a continuous source of spermatogenic cells for the actively renewing tissue. After division, these spermatogonia give rise to a generation of spermatogonia B, which occur in clustes of four or more cells. After a limited number of proliferative cycles, spermatogonia B [B] enter meiosis to give rise to spermatocytes. This process and the successive stages of spermatogenesis are illustrated in more detail at the Spermatogenesis page.

Proliferation of spermatogonia is induced when these cells are being enveloped by Sertoli cells [S]. Sertoli cells have an irregular nucleus, and are occasionally visible at the basement membrane (see also: Sertoli cell section. They serve as a mediator in the androgenic stimulation of spermatogenic cells (Nagahama 1994).

Each cluster of meiotic cells that arises from spermatogonial division shows synchronous maturation, and such spermatocysts [outlined in red, left image] are enveloped by the thin layer of the membrane of lobule boundary cells [m], which are adapted Sertoli cells. When spermatogenesis is completed, these lobule boundary cells open up to void the mature sperm into the tubular lumen.

Spermatogonial cells occur randomly over the entire stretch of the tubules, and consequently, spermatocysts with various stages of maturation can be found anywhere. This organisation is referred to as "unrestricted", in contrast to the restricted testis type, where the spermatogonia reside at the periphery of the organ, directly under the covering tunica albuginea. These residual spermatogonia produce synchronously maturing cohorts of spermatocysts, which migrate simultaneously towards a central tubule or duct (Grier et al. 1980. Loir et al. 1995).

References

  • Grier-HJ, Linton-JR, Leatherland-JF, and De Vlaming-VL. Structural evidence for two different testicular types in teleost fishes. Am.J.Anat.159:331-345;1980.
  • Loir-M, Sourdaine-P, Mendis-Handagama-SM, and Jegou-B. Cell-cell interactions in the testis of teleosts and elasmobranchs. Microsc.Res.Tech.32:533-552;1995.
  • Nagahama-Y. Endocrine regulation of gametogenesis in fish. Int.J.Dev.Biol.38:217-229;1994)

Adult male zebrafish; H&E staining

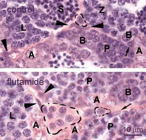
    structure of the mature testis - Leydig cells

    Leydig cells [outlined], also known as interstital cells, are found in the interstitial space between the testis tubules. These cells have regularly shaped round or oval nuclei. In the control testis, they occur solitairy or in small clusters; larger clusters are observed after exposure to the anti-androgen flutamide, shown here [lower image] for comparison. Occasionally, such larger clusters may also be present at the periphery of the control testis. Note, that apart from Leydig cells, other cells [arrowheads], such as fibroblasts and smooth muscle cells, are also present in the interstitium.

    Leydig cells are the source of androgens. In teleosts, they produce 11-ketotestosterone under complex regulation. Androgen production in teleosts is stimulated by the pituitary derived gonadotropin, and gonadotropin production is partly under feedback control of plasma androgen levels [Nagahama 1994]; furthermore, there is possibly also auto-regulation of androgen expression at the level of the Leydig cells [Schulz 2001]. The observed hyperplasia of Leydig cells after exposure to flutamide is therefore probably a consequence of disruption of the control.

    Other testis structures are: spermatogonia A [A], spermatogonia B [B], spermatocytes in leptotene [L], early zygotene [Z], and pachytene [P] stages; spermatids [S]; Sertoli cells [arrows].

    References

    • Nagahama-Y. Endocrine regulation of gametogenesis in fish. Int.J.Dev.Biol.38:217-229;1994
    • Schulz-RW, Vischer-HF, Cavaco-JE, Santos-EM, Tyler-CR, Goos-HJ, and Bogerd-J. Gonadotropins, their receptors, and the regulation of testicular functions in fish. Comp Biochem. Physiol B Biochem. Mol. Biol. 129: 407-417; 2001


    Adult male zebrafish, control (top), and exposed to 1 mg flutamide /L (bottom); H&E staining

    structure of the mature testis - Sertoli cells

    Sertoli cells [arrows] are characterized by their irregular shaped nuclei. These cells are found at the luminal side of the basement membrane of the spermatogenic tubules. They occur either solitairy, or in close association with the spermatogenic cysts, which they enclose; in this condition they are also known as lobule boundary cells.


    Adult male zebrafish; H&E staining

    testis - Estrogen receptors

    Luciferase protein expression in testis of adult of adult wild-type (wt) or transgenic (tg) zebrafish exposed for 48 h to 1000 nM E2. In the transgenic zebrafish, an estrogen binding sequence linked to a TATA box and luciferase reporter gene was stably introduced.
    Binding of a substance to endogenous estrogen receptors and the subsequent transactivation of the estrogen responsive elements result in luciferase gene induction. This system thus is indicative for the presence of estrogen receptors.
    This immunohistochemical staining of paraffin-embedded sections using polyclonal anti-luciferase antibody shows expression of luciferase localized in clusters of spermatonia [brown staining]. From the spermatocyte stage on [outlined], germ cells are unstained, as are all cell types in the interstitium. Wild-type nontransgenic testis is completely negative.
    study by Juliette Legler [Legler et al., 2002]

    References

    • Legler J, Broekhof JLM, Brouwer A, Lanser PH, Murk AJ, Van der Saag PT, Vethaak AD, Wester P, Zivkovic D, and Van der Burg B. A novel in vivo bioassay for (xeno-)estrogens using transgenic zebrafish. Environmental Science and Technology 34: 4439-4444; 2000.


    Adult male zebrafish; DAB immunostaining, hematoxylin counterstaining



    This article is issued from Wikibooks. The text is licensed under Creative Commons - Attribution - Sharealike. Additional terms may apply for the media files.