< The Zebrafish in Toxicology






♦ Reproduction - Testis; Normal Histology - testis development



early to advanced stages

1. undifferentiated gonad

The undifferentiated gonad [T] is an elongated structure which diametrically only spans a few cells; the organ is composed of mainly undifferentiated gonocytes. In this image, it is bounded by liver [L] and its associated peritoneal tissue [p] on the medial side, and lateral by mesenchyme [m]. Adjacent to the liver, part of the swim bladder [bs] is visible.



Coronal section of a juvenile male zebrafish, total body length 11 mm; age 6w; H&E staining

2. early development

An early feature of male differentiation of the gonad is ingrowth of stroma [s]. Other features, which are not present on this image are appearance of a clustered organisation (spermatocysts) and lumen formation. This gonad mainly contains undifferentiated gonocytes [g], but early stages of differentiation [d] are also present.

A small part of the liver [L] is visible.



Coronal section of a juvenile male zebrafish, total body length 11 mm; age 4w; H&E staining

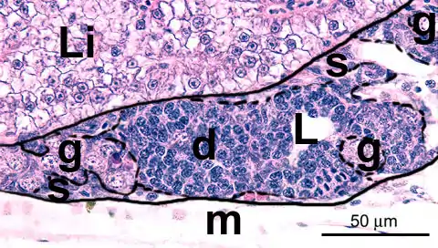
3. early development

This gonad mainly contains early stages of differentiation [d], which are characterized by the increased nuclear basophilic staining and decreased size, compared to undifferentiated gonocytes [g]. The hole in this image probably indicates early lumen [L] formation; early ingrowth of stroma [s] is also visible.

Adjacent structures in this image are: liver [Li] on the medial side mesenchyme [m] on the lateral side





Coronal section of a juvenile male zebrafish, total body length 11 mm; age 5w; H&E staining

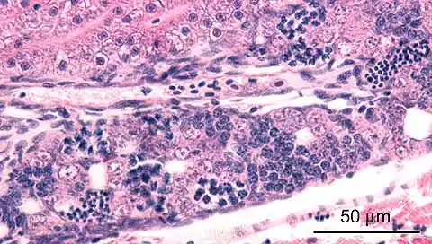
4. early development

Early features of male differentiation of the gonad are the appearance of a clustered organisation (spermatocysts) and ingrowth of stroma [s].

This gonad contains early stages of differentiation [d], as well as undifferentiated gonocytes [g]. A vessel [arrows] can be observed, and adjacent structures in this image are: liver [L], pancreas [p], and peritoneal cells [arrowhead]



Coronal section of a juvenile male zebrafish, total body length 12 mm; age 5w; H&E staining

5. early development

This gonad shows the combined presence of clustered organisation (spermatocysts [d]) and lumen formation [arrows], as indications of early male differentiation.

Early stages of differentiation are predominant [d], but undifferentiated gonocytes [g] are also abundant.

Adjacent structures in this image are: liver [L] peritoneal cells [arrowheads]



Coronal section of a juvenile male zebrafish, total body length 12 mm; age 5w; H&E staining

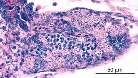
6. intermediate development

This gonad shows the combined presence of clustered organisation (spermatocysts [d]) and lumen formation [arrows] as indications of early male differentiation. A prominent blood vessel [v] filled with erythrocytes [e] is present in the stroma.

The spematogenic epithelium contains mainly early and intermediate stages of differentiation [d], up to early spermatids [s]; clusters of undifferentiated gonocytes [g] are also present.

Adjacent structures in this image are: liver [L] abdominal wall [a]



Coronal section of a juvenile male zebrafish, total body length 12 mm; age 6w; H&E staining

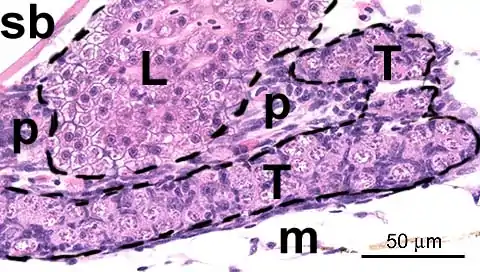
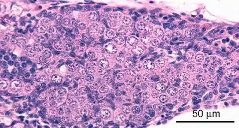
7. advanced development

This gonad can be identified as a testis by the presence of well-developed lumina, which are filled with sperm [L], and by the clustered organisation (spermatocysts [s]). Clusters of spermatogonia [g] are also present.

Adjacent structures in this image are: clustered peritoneal cells [arrows]



Coronal section of a juvenile male zebrafish, total body length 12 mm; age 6w; H&E staining


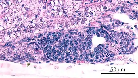
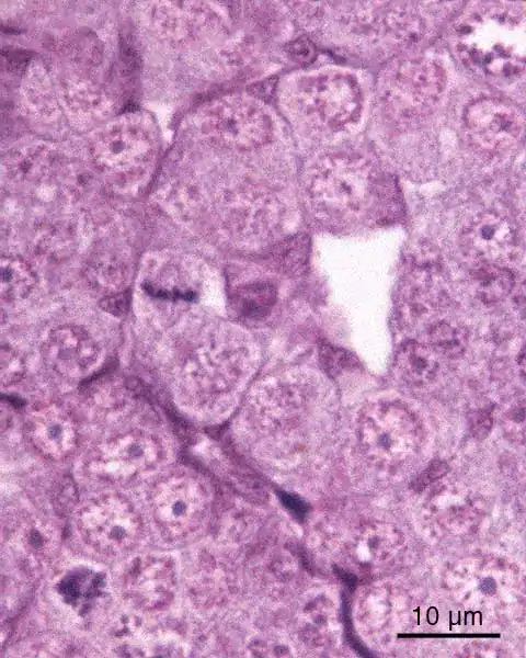
♦ testis-ova



Early oocytes [e] are observed in the developing testis at varying incidences (1:350 in the RIVM zebrafish stock, 1:10 in the stock of the Veterinary Faculty of the Utrecht University). Thise image shows the phenomenon at a relatively more advanced developmental stages, which includes mature sperm [s]. There is an obvious clustered organisation (spermatocysts), combined with clusters of spermatogonia [g]. Incidently, Sertoli cells [arrowheads] can be discerned.

The presence of primitive oocytes in the developing testis has been interpreted as a feature of undifferentiated gonochorism or protogyny: the undifferentiated gonad develops into an ovary-like gonad in all individuals and then in about one-half of the population transforms into a testis (Takahashi-H. Juvenile hermaphroditism in the zebrafish, Brachydanio rerio. Bull.Fac.Fish.Hokkaido Univ.28:57-65;1977). Takahashi describes "intersexuality" similar to the images presented here with a maximal incidence of 1:4. These varying incidences indicate that the balance of sex-determining factors is delicate and environmental or genetical variations between stocks may produce a slightly different differentiation process; furthermore. Our observations do not suppport the undifferentiated gonochoristic or protogyny paradigm in zebrafish.



Coronal section of a juvenile male zebrafish, total body length 17 mm; age 8w; H&E staining



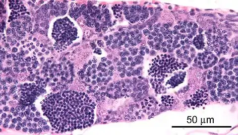
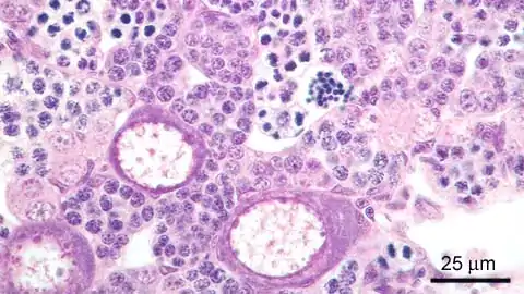
♦ variability between species


difference of testis development between fathead minnow (Pimephales promelas and zebrafish
The differentiating testis of zebrafish (upper image) is characterized by clustering of spermatogenic cells [s] and progression of these clustered cells to meiosis. In the developing testis of fathead minnow, on the contrary, there are only occasional indications of progression to meiosis. This testis is predominated by dividing spermatogonia [g], which are organised as early tubules [outlined]; such a tubular organization appears only at a later stage of development of the zebrafish testis. Preliminary lumen [asterisks] are visible in both species.

age of the zebrafish is appr. 6w and of the fathead minnow appr. 9w; both images have equal magnification
fathead minnow sections were kindly provided by Dr. Grace Panter


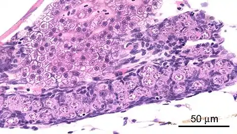
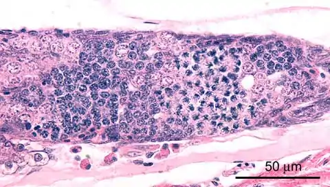
detail of early fathead minnow testis
This detail image shows a clearly circumscribed tubulus [outlined] with its central lumen [asterisks]. The image is predominated by spermatogonia, which are grouped in small clusters. These cells have a high mitotic activity, illustrated by dividing cells in metaphase [m] and anaphase [a], respectively. Sertoli cells [arrows] can also be distinguished by their (mostly) triangular shape and position at the basement membrane.

age of the fathead minnow appr. 9w; fathead minnow sections were kindly provided by Dr. Grace Panter



♦ development of testis orientation in the peritoneal cavity


testis fully attached to the wall of the peritoneal cavity [Fig.A1]: The differentiated gonad ([G], testis in this image) develops from an undifferentiated gonadal anlage, located retroperitoneally in the caudal peritoneal cavity [cpc]. It is closely associated with the peritoneum [between arrows]; ingrowth of stroma into the gonad originates from the peritoneum. At this stage, the testis is in close association with the wall of the peritoneal cavity, and bounded by retroperitoneal mesenchymal tissue [m] (mainly adipose cells).
central detachment [Fig.A2]: Central detachment of the gonad [G] of the peritoneal wall leads to the development of a retrogonadal cavity [rc]. At this stage, the gonad (testis in this image) remains attached [arrowheads] to the peritoneal wall on both sides, and these attachments are continuous with the peritoneum [between arrows]. The gonad now bulges more prominent into the peritoneal cavity [cpc]; it is no longer closely associated with the retroperitoneal mesenchyme [m].
unilateral attachment [Fig.A3]: After further detachment, the testis [G] appears as a protruding mass in the peritoneal cavity [cpc]. A single pole of the organ remains attached to the peritoneal wall [arrowheads]. This attachment area, which is continuous with the peritoneum [arrows] eventually develops to a testicular stalk, conducting the efferent sperm duct.


Fig.A1. Testis at the wall of the peritoneal cavity
total body length 14 mm; age 6w


Fig.A2. Central detachment
total body length 12 mm; age 6w


Fig.A3. Unilateral attachment
total body length 12 mm; age 6w

persisting bilateral attachment in the ovary [Fig.A4]: In ovary development, the retrogonadal cavity [rc] persists and even expands; eventually it becomes the oviduct. The ovary [G] thus remains attached bilaterally to the peritoneal wall. The peritoneum [arrows] constitues the boundary between this future oviduct and the peritoneal cavity [cpc].
persisting bilateral attachment in the testis [Fig.A5]: As shown in this image, the retrogonadal cavity [rc] may also persist in testis development. The testis [G] thus remains attached bilaterally to the peritoneal wall [arrowheads]. It should be noted, however, that this bilateral attachment may indicate feminization, since this animal was staticly exposed to 1 nM 17ß-estradiol (lifetime). The peritoneum [arrows] constitues the boundary between this cavity and the peritoneal cavity [cpc].


Fig.A4. Persisting bilateral attachment in the ovary
total body length 13 mm; age 6w


Fig.A5. Persisting bilateral attachment in the testis
total body length 17 mm; age 6w

Other structures in these image are: liver [L], swim bladder [sb], gut [g] (note Artemia salina eggshell remains [a] in the gut lumen in Fig.A2), pancreas [p], trunk wall musculature [t], which shows its compartimental organization in somites [outlined], and which contains a rib [r] between two somites, retroperitoneal mesenchyme [m].

This article is issued from Wikibooks. The text is licensed under Creative Commons - Attribution - Sharealike. Additional terms may apply for the media files.